Learning

Calcification Tendonitis How

Calcification Tendonitis How
Calcification Tendonitis How

Calcification tendonitis is a condition that affects the tendons, particularly those in the shoulder, causing significant pain and discomfort. Understanding calcification tendonitis how it develops, its symptoms, and effective treatment options is crucial for managing this condition. This blog post delves into the intricacies of calcification tendonitis, providing a comprehensive guide to help you navigate through this challenging condition.

Understanding Calcification Tendonitis

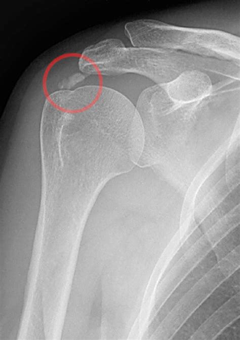
Calcification tendonitis, also known as calcific tendinitis, occurs when calcium deposits form within the tendons, most commonly in the rotator cuff tendons of the shoulder. These deposits can cause inflammation, pain, and restricted movement. The condition can be acute or chronic, and its severity can vary widely among individuals.

Symptoms of Calcification Tendonitis

The symptoms of calcification tendonitis can be quite debilitating. Common symptoms include:

  • Severe shoulder pain: Often described as a sharp, stabbing pain that worsens with movement.
  • Limited range of motion: Difficulty in raising the arm or performing overhead activities.
  • Swelling and tenderness: The affected area may feel swollen and tender to the touch.
  • Night pain: Pain that worsens at night, often disrupting sleep.

These symptoms can significantly impact daily activities, making it essential to seek medical attention for proper diagnosis and treatment.

Causes and Risk Factors

While the exact cause of calcification tendonitis is not fully understood, several factors are believed to contribute to its development. These include:

  • Age: The condition is more common in individuals between the ages of 30 and 60.
  • Repetitive stress: Activities that involve repetitive overhead movements, such as certain sports or occupations, can increase the risk.
  • Genetic predisposition: A family history of the condition may increase the likelihood of developing calcification tendonitis.
  • Metabolic disorders: Conditions such as diabetes and hyperparathyroidism can affect calcium metabolism and contribute to the formation of calcium deposits.

Understanding these risk factors can help in identifying individuals who may be more susceptible to calcification tendonitis how it develops and taking preventive measures.

Diagnosis of Calcification Tendonitis

Diagnosing calcification tendonitis involves a combination of physical examination and imaging tests. The diagnostic process typically includes:

  • Physical examination: A healthcare provider will assess the range of motion, strength, and tenderness in the affected area.
  • Imaging tests: X-rays, ultrasound, or MRI scans can help visualize the calcium deposits and assess the extent of the damage.

Accurate diagnosis is crucial for developing an effective treatment plan tailored to the individual's needs.

Treatment Options for Calcification Tendonitis

Treatment for calcification tendonitis aims to reduce pain, improve mobility, and dissolve the calcium deposits. Various treatment options are available, ranging from conservative measures to surgical interventions. Here are some of the most common approaches:

Conservative Treatments

Conservative treatments are often the first line of defense against calcification tendonitis. These include:

  • Rest and activity modification: Avoiding activities that exacerbate the pain and allowing the tendon to heal.
  • Pain management: Over-the-counter pain relievers such as ibuprofen or naproxen can help manage pain and inflammation.
  • Physical therapy: Exercises to improve strength, flexibility, and range of motion in the affected area.
  • Corticosteroid injections: Injections of corticosteroids into the affected tendon can reduce inflammation and pain.

These conservative measures can be effective in managing symptoms and promoting healing, especially in the early stages of the condition.

Advanced Treatments

For more severe cases of calcification tendonitis, advanced treatments may be necessary. These include:

  • Extracorporeal Shock Wave Therapy (ESWT): This non-invasive procedure uses shock waves to break up the calcium deposits and stimulate healing.
  • Ultrasound-guided needle aspiration: A procedure where a needle is inserted into the calcium deposit to remove it, often combined with a corticosteroid injection.
  • Surgical intervention: In rare cases, surgery may be required to remove the calcium deposits and repair any damaged tissue.

These advanced treatments are typically considered when conservative measures have failed to provide relief.

๐Ÿ“ Note: It is essential to consult with a healthcare provider to determine the most appropriate treatment plan based on the severity of the condition and individual needs.

Prevention Strategies

While calcification tendonitis cannot always be prevented, certain strategies can help reduce the risk of developing the condition. These include:

  • Maintaining a healthy lifestyle: Regular exercise, a balanced diet, and adequate rest can help keep the tendons healthy.
  • Proper warm-up and cool-down: Before engaging in physical activities, especially those involving repetitive movements, ensure proper warm-up and cool-down exercises.
  • Strengthening exercises: Regularly performing exercises to strengthen the muscles and tendons around the shoulder can help prevent injuries.
  • Avoiding overuse: Be mindful of activities that involve repetitive overhead movements and take breaks to rest the shoulder.

Implementing these prevention strategies can help maintain tendon health and reduce the risk of developing calcification tendonitis.

Living with Calcification Tendonitis

Living with calcification tendonitis can be challenging, but with the right management strategies, it is possible to lead a fulfilling life. Here are some tips for coping with the condition:

  • Stay active: Engage in low-impact activities that do not exacerbate the pain, such as swimming or cycling.
  • Manage pain: Use pain management techniques such as heat or cold therapy, massage, or over-the-counter pain relievers.
  • Seek support: Join support groups or seek counseling to cope with the emotional impact of living with a chronic condition.
  • Stay informed: Educate yourself about the condition and stay updated on the latest treatment options and research.

By adopting these strategies, individuals with calcification tendonitis can improve their quality of life and manage the condition more effectively.

Calcification tendonitis is a complex condition that requires a comprehensive approach to diagnosis and treatment. Understanding calcification tendonitis how it develops, recognizing the symptoms, and exploring various treatment options can help individuals manage the condition effectively. With the right care and management strategies, it is possible to alleviate pain, improve mobility, and enhance overall quality of life.

Related Terms:

  • treatment for calcific tendonitis shoulder
  • what causes calcification of tendons
  • left shoulder calcific tendonitis
  • how to prevent calcific tendonitis
  • calcific tendinitis vs tendonitis
  • shoulder tendon calcification
Facebook Twitter WhatsApp
Related Posts
Don't Miss