Learning

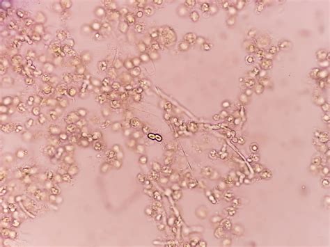
Budding Yeast In Urine

Budding Yeast In Urine
Budding Yeast In Urine

Urinary tract infections (UTIs) are a common health issue that affects millions of people worldwide. While bacteria are the most frequent culprits behind UTIs, the presence of budding yeast in urine can also indicate a fungal infection, specifically candidiasis. This condition, often caused by Candida species, requires a different approach to diagnosis and treatment compared to bacterial infections. Understanding the symptoms, causes, and treatment options for budding yeast in urine is crucial for effective management and prevention.

Understanding Budding Yeast in Urine

Budding yeast in urine refers to the presence of yeast cells, typically Candida, in the urinary tract. Candida is a type of fungus that is normally present in small amounts in the body, including the mouth, throat, and intestines. However, under certain conditions, Candida can overgrow and cause infections. When this overgrowth occurs in the urinary tract, it can lead to symptoms similar to those of a bacterial UTI.

Symptoms of Budding Yeast in Urine

The symptoms of a yeast infection in the urinary tract can vary but often include:

  • Burning sensation during urination
  • Frequent urination
  • Cloudy or strong-smelling urine
  • Pelvic pain or pressure
  • Vaginal itching or discharge (in women)
  • Pain during sexual intercourse (in women)

It is important to note that these symptoms can also be indicative of a bacterial UTI. Therefore, a proper diagnosis is essential to determine the appropriate treatment.

Causes of Budding Yeast in Urine

Several factors can contribute to the overgrowth of Candida in the urinary tract, leading to budding yeast in urine. Some of the most common causes include:

  • Antibiotic use: Broad-spectrum antibiotics can kill beneficial bacteria in the body, allowing Candida to overgrow.
  • Diabetes: High blood sugar levels can create an environment conducive to yeast growth.
  • Weakened immune system: Conditions such as HIV/AIDS, cancer, or the use of immunosuppressive medications can increase the risk of yeast infections.
  • Hormonal changes: Fluctuations in hormone levels, such as those occurring during pregnancy or menopause, can affect the balance of microorganisms in the body.
  • Poor hygiene: Inadequate personal hygiene can contribute to the overgrowth of Candida.
  • Use of corticosteroids: These medications can suppress the immune system, making it easier for yeast to proliferate.

Diagnosing Budding Yeast in Urine

Diagnosing a yeast infection in the urinary tract involves a combination of medical history, physical examination, and laboratory tests. The diagnostic process typically includes:

  • Urinalysis: A urine sample is analyzed to check for the presence of yeast cells and other abnormalities.
  • Urine culture: A urine culture can help identify the specific type of yeast causing the infection.
  • Physical examination: A healthcare provider may perform a physical exam to assess symptoms and rule out other potential causes.

In some cases, additional tests such as imaging studies or blood tests may be recommended to rule out underlying conditions that could be contributing to the infection.

Treatment Options for Budding Yeast in Urine

Treatment for budding yeast in urine typically involves antifungal medications. The choice of medication and duration of treatment will depend on the severity of the infection and the patient's overall health. Common treatment options include:

Medication Form Duration
Fluconazole Oral tablet Single dose or multiple doses over several days
Itraconazole Oral capsule Multiple doses over several days
Nystatin Oral suspension or vaginal cream Multiple doses over several days
Clotrimazole Vaginal cream or suppository Multiple doses over several days

In addition to medication, lifestyle changes can help prevent recurrent yeast infections. These include:

  • Wearing loose-fitting clothing and cotton underwear to reduce moisture and promote airflow.
  • Avoiding tight-fitting pants and synthetic fabrics that can trap moisture.
  • Practicing good hygiene, including regular bathing and changing underwear daily.
  • Avoiding douching and using mild, unscented soaps for personal hygiene.
  • Maintaining a healthy diet and managing blood sugar levels, especially for individuals with diabetes.

๐Ÿ“ Note: It is important to complete the full course of antifungal medication as prescribed, even if symptoms improve before the treatment is finished. Stopping the medication early can lead to a recurrence of the infection.

Preventing Budding Yeast in Urine

Preventing budding yeast in urine involves maintaining good hygiene, managing underlying health conditions, and making lifestyle adjustments. Some effective prevention strategies include:

  • Maintaining a healthy diet: Consuming a balanced diet rich in fruits, vegetables, and whole grains can support overall health and immune function.
  • Staying hydrated: Drinking plenty of water can help flush out bacteria and yeast from the urinary tract.
  • Avoiding irritants: Avoiding harsh soaps, douches, and feminine hygiene sprays can help maintain the natural balance of microorganisms in the body.
  • Managing diabetes: Keeping blood sugar levels under control can reduce the risk of yeast infections.
  • Practicing safe sex: Using condoms and avoiding sexual activity during an active infection can help prevent the spread of yeast infections.

For individuals who experience recurrent yeast infections, it may be beneficial to consult with a healthcare provider to discuss additional prevention strategies and potential underlying causes.

In some cases, probiotics may be recommended to help restore the natural balance of microorganisms in the body. Probiotics contain beneficial bacteria that can compete with yeast for space and nutrients, reducing the risk of overgrowth.

It is also important to be aware of the potential side effects of antifungal medications and to report any adverse reactions to a healthcare provider. Common side effects may include nausea, vomiting, and abdominal pain. In rare cases, more serious side effects such as allergic reactions or liver damage can occur.

In summary, budding yeast in urine is a condition that requires proper diagnosis and treatment to prevent complications and recurrence. Understanding the symptoms, causes, and treatment options for yeast infections in the urinary tract can help individuals manage this condition effectively and improve their overall quality of life.

Related Terms:

  • hyphae yeast in urine
  • budding yeast in urine treatment
  • budding yeast in urine meaning
  • budding yeast in urine culture
  • candidal cystitis
  • budding yeast in urinalysis treatment
Facebook Twitter WhatsApp
Related Posts
Don't Miss