Learning

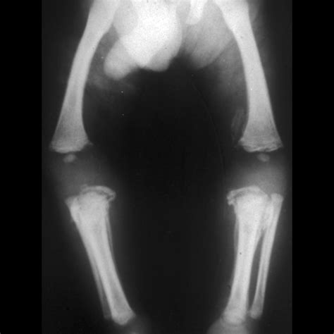
Bucket Handle Fracture

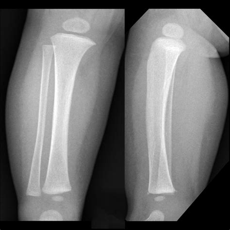
Bucket Handle Fracture
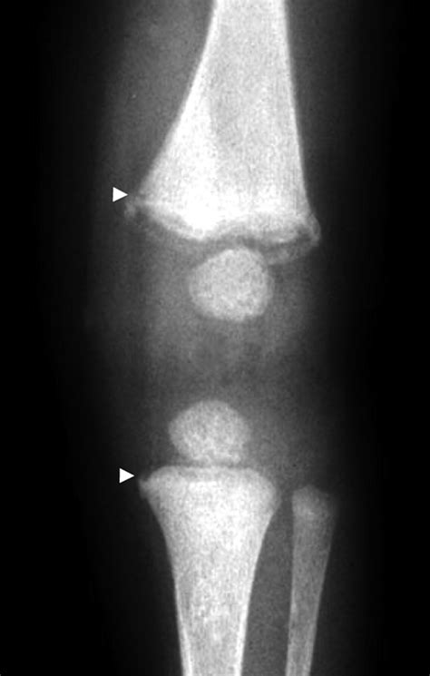
Bucket Handle Fracture

Orthopedic injuries can range from minor sprains to severe fractures, each requiring specific medical attention. Among these, a Bucket Handle Fracture is a unique and critical type of injury that demands immediate and precise treatment. This type of fracture involves a segment of bone that is displaced, often resembling a bucket handle, hence the name. Understanding the causes, symptoms, diagnosis, and treatment options for a Bucket Handle Fracture is essential for both medical professionals and patients.

Understanding Bucket Handle Fractures

A Bucket Handle Fracture is a specific type of fracture where a segment of bone is displaced, often in a manner that resembles the handle of a bucket. This type of fracture is commonly seen in the knee, particularly in the medial meniscus, but can also occur in other joints. The fracture typically involves a longitudinal split in the bone, with the displaced segment often remaining attached to the surrounding ligaments or tendons.

Causes of Bucket Handle Fractures

Bucket Handle Fractures can occur due to various reasons, including:

  • Traumatic Injuries: Sudden, high-impact trauma such as falls, car accidents, or sports injuries can cause a Bucket Handle Fracture.
  • Overuse: Repetitive stress on the joint, often seen in athletes, can lead to this type of fracture.
  • Degenerative Conditions: Conditions like osteoarthritis can weaken the bone, making it more susceptible to fractures.

Symptoms of Bucket Handle Fractures

The symptoms of a Bucket Handle Fracture can vary depending on the location and severity of the injury. Common symptoms include:

  • Pain: Severe pain in the affected area, often worsening with movement.
  • Swelling: Significant swelling and inflammation around the joint.
  • Instability: A feeling of instability or giving way in the joint.
  • Limited Range of Motion: Difficulty moving the joint through its full range of motion.
  • Deformity: Visible deformity or misalignment of the joint.

Diagnosing Bucket Handle Fractures

Diagnosing a Bucket Handle Fracture involves a combination of physical examination and imaging tests. The diagnostic process typically includes:

  • Physical Examination: A thorough physical exam to assess the range of motion, stability, and any visible deformities.
  • Imaging Tests: X-rays, MRI, or CT scans to visualize the fracture and determine the extent of the damage.

Imaging tests are crucial for confirming the diagnosis and planning the appropriate treatment. X-rays can show the fracture line, while MRI and CT scans provide detailed images of the soft tissues and bone structure.

Treatment Options for Bucket Handle Fractures

The treatment for a Bucket Handle Fracture depends on the severity of the injury and the patient's overall health. Treatment options can range from conservative measures to surgical intervention.

Conservative Treatment

For less severe fractures, conservative treatment may be sufficient. This includes:

  • Rest: Avoiding activities that put stress on the affected joint.
  • Ice: Applying ice to reduce swelling and pain.
  • Compression: Using compression bandages to control swelling.
  • Elevation: Keeping the affected limb elevated to reduce swelling.
  • Medication: Over-the-counter pain relievers and anti-inflammatory drugs.
  • Physical Therapy: Exercises to improve range of motion and strength.

Conservative treatment is often the first line of defense, but it may not be sufficient for more severe fractures.

Surgical Treatment

For more severe Bucket Handle Fractures, surgical intervention may be necessary. Surgical options include:

  • Open Reduction and Internal Fixation (ORIF): A procedure where the fracture is realigned and stabilized using plates, screws, or rods.
  • Arthroscopy: A minimally invasive procedure using a small camera and instruments to repair the fracture.
  • Joint Replacement: In severe cases, a joint replacement may be necessary to restore function and stability.

Surgical treatment aims to realign the bone fragments, stabilize the joint, and promote healing. The choice of surgical procedure depends on the location and severity of the fracture, as well as the patient's overall health and activity level.

Recovery and Rehabilitation

Recovery from a Bucket Handle Fracture can be a lengthy process, depending on the severity of the injury and the type of treatment received. Rehabilitation is a crucial part of the recovery process and typically includes:

  • Physical Therapy: Exercises to improve range of motion, strength, and flexibility.
  • Pain Management: Medication and other pain management techniques to control discomfort.
  • Gradual Return to Activity: A gradual return to normal activities, with a focus on avoiding reinjury.

Physical therapy plays a vital role in the recovery process, helping patients regain strength and mobility in the affected joint. A structured rehabilitation program can significantly improve outcomes and reduce the risk of future injuries.

Preventing Bucket Handle Fractures

While not all Bucket Handle Fractures can be prevented, there are steps individuals can take to reduce their risk. Prevention strategies include:

  • Proper Warm-Up and Cool-Down: Before engaging in physical activities, ensure a proper warm-up and cool-down to prepare the muscles and joints.
  • Strength Training: Regular strength training to improve muscle strength and joint stability.
  • Proper Technique: Using correct techniques during physical activities to avoid unnecessary stress on the joints.
  • Adequate Rest: Allowing sufficient rest and recovery time between physical activities.
  • Protective Gear: Wearing appropriate protective gear during sports and other high-impact activities.

By incorporating these prevention strategies into daily routines, individuals can reduce their risk of sustaining a Bucket Handle Fracture.

📝 Note: Always consult with a healthcare professional for personalized advice on preventing and managing orthopedic injuries.

Special Considerations for Athletes

Athletes are at a higher risk of sustaining Bucket Handle Fractures due to the intense physical demands of their sports. Special considerations for athletes include:

  • Regular Check-Ups: Regular medical check-ups to monitor joint health and detect any early signs of injury.
  • Customized Training Programs: Training programs tailored to the specific needs and demands of the sport.
  • Nutrition and Hydration: Proper nutrition and hydration to support bone health and overall performance.
  • Injury Prevention Programs: Participation in injury prevention programs designed to reduce the risk of orthopedic injuries.

Athletes should work closely with their healthcare providers and trainers to develop a comprehensive plan for preventing and managing Bucket Handle Fractures.

Long-Term Management of Bucket Handle Fractures

Long-term management of Bucket Handle Fractures involves ongoing care and monitoring to ensure complete healing and prevent future injuries. Key aspects of long-term management include:

  • Regular Follow-Ups: Regular follow-up appointments with healthcare providers to monitor progress and address any concerns.
  • Ongoing Rehabilitation: Continuing with rehabilitation exercises to maintain strength and flexibility.
  • Lifestyle Modifications: Making necessary lifestyle modifications to support joint health and overall well-being.
  • Education and Awareness: Educating patients about the importance of joint health and injury prevention.

Long-term management is essential for ensuring a successful recovery and preventing future injuries. Patients should work closely with their healthcare providers to develop a personalized long-term management plan.

In conclusion, a Bucket Handle Fracture is a serious orthopedic injury that requires immediate and precise treatment. Understanding the causes, symptoms, diagnosis, and treatment options for this type of fracture is crucial for both medical professionals and patients. By following appropriate prevention strategies and seeking timely medical attention, individuals can reduce their risk of sustaining a Bucket Handle Fracture and ensure a successful recovery.

Related Terms:

  • corner fracture
  • bucket handle fracture pelvis
  • bucket handle fracture cause
  • bucket handle fracture radius
  • bucket handle fracture wrist
  • bucket handle fracture femur
Facebook Twitter WhatsApp
Related Posts
Don't Miss