Learning

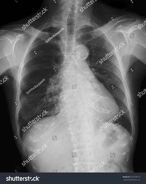
Bronchitis X Ray

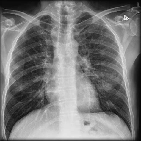
Bronchitis X Ray
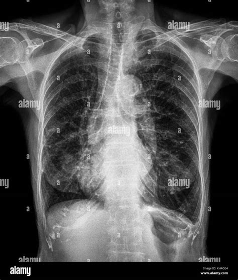
Bronchitis X Ray

Bronchitis is a common respiratory condition that affects millions of people worldwide. It is characterized by inflammation of the bronchial tubes, which carry air to and from the lungs. This inflammation can lead to symptoms such as coughing, wheezing, and difficulty breathing. One of the key diagnostic tools used to assess bronchitis is the bronchitis X ray. This imaging technique provides valuable insights into the condition of the lungs and bronchial tubes, helping healthcare professionals make accurate diagnoses and develop effective treatment plans.

Understanding Bronchitis

Bronchitis can be categorized into two main types: acute and chronic. Acute bronchitis is typically caused by viral infections and resolves within a few weeks. Chronic bronchitis, on the other hand, is a long-term condition often associated with smoking or exposure to irritants and can lead to more severe respiratory issues.

Symptoms of Bronchitis

The symptoms of bronchitis can vary depending on whether it is acute or chronic. Common symptoms include:

  • Persistent cough, often producing mucus
  • Shortness of breath
  • Chest discomfort or tightness
  • Fatigue
  • Low-grade fever
  • Wheezing

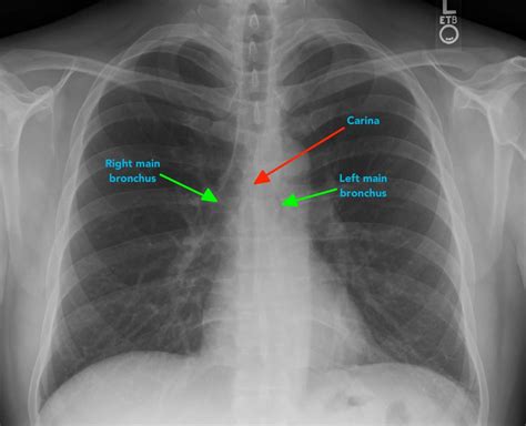
The Role of Bronchitis X Ray in Diagnosis

A bronchitis X ray is a crucial diagnostic tool that helps healthcare providers visualize the lungs and bronchial tubes. This imaging technique uses X-rays to create detailed images of the chest, allowing doctors to identify any abnormalities or inflammation. The bronchitis X ray can reveal:

  • Inflammation and swelling of the bronchial tubes
  • Presence of mucus or fluid in the lungs
  • Signs of infection or pneumonia
  • Structural abnormalities in the lungs

Preparing for a Bronchitis X Ray

Preparing for a bronchitis X ray is relatively straightforward. Patients are typically advised to:

  • Remove any jewelry or metal objects that could interfere with the imaging
  • Wear comfortable clothing that can be easily removed if necessary
  • Inform the healthcare provider of any allergies or medical conditions
  • Follow any specific instructions provided by the healthcare provider

During the procedure, the patient will be asked to stand or sit in front of an X-ray machine. The technician will position the patient to ensure the best possible images are captured. The patient may be asked to hold their breath briefly while the X-ray is taken to minimize movement and ensure clarity.

Interpreting Bronchitis X Ray Results

Interpreting the results of a bronchitis X ray requires the expertise of a radiologist or healthcare provider. The images are carefully examined for signs of inflammation, infection, or other abnormalities. Key findings that may be noted include:

  • Increased density or opacity in the lungs, indicating inflammation or fluid buildup
  • Thickening of the bronchial walls
  • Presence of nodules or masses
  • Signs of pneumonia or other respiratory infections

Based on the findings, the healthcare provider will develop a treatment plan tailored to the patient's specific needs. This may include medications, lifestyle changes, or further diagnostic tests.

Treatment Options for Bronchitis

The treatment for bronchitis depends on the type and severity of the condition. For acute bronchitis, treatment often focuses on managing symptoms and allowing the body to heal. Common treatments include:

  • Rest and hydration
  • Over-the-counter pain relievers and cough suppressants
  • Antibiotics (if a bacterial infection is present)
  • Bronchodilators to open the airways

For chronic bronchitis, long-term management is essential. Treatment may include:

  • Smoking cessation programs
  • Pulmonary rehabilitation
  • Oxygen therapy
  • Regular follow-ups with a healthcare provider

Preventing Bronchitis

Preventing bronchitis involves taking steps to protect the respiratory system from irritants and infections. Key preventive measures include:

  • Avoiding smoking and exposure to secondhand smoke
  • Washing hands regularly to prevent the spread of viruses
  • Getting vaccinated against influenza and pneumonia
  • Maintaining a healthy lifestyle with regular exercise and a balanced diet

When to Seek Medical Attention

While bronchitis can often be managed at home, there are situations where medical attention is necessary. Seek immediate medical care if you experience any of the following:

  • Severe shortness of breath
  • High fever
  • Coughing up blood
  • Chest pain
  • Worsening symptoms despite treatment

Early intervention can help prevent complications and ensure a faster recovery.

📌 Note: Always consult with a healthcare provider for personalized advice and treatment options.

Bronchitis is a manageable condition with the right diagnosis and treatment. The bronchitis X ray plays a vital role in identifying the underlying causes and guiding effective treatment plans. By understanding the symptoms, diagnostic tools, and treatment options, individuals can take proactive steps to manage bronchitis and improve their respiratory health.

Related Terms:

  • bronchitis x ray findings
  • bronchitis x ray images
  • bronchitis x ray signs
  • bronchitis real picture
  • bronchial thickening on xray
  • acute bronchitis x ray images
Facebook Twitter WhatsApp
Related Posts
Don't Miss