Learning

Bronchiolitis In Adults

Bronchiolitis In Adults
Bronchiolitis In Adults

Bronchiolitis is a common respiratory condition that primarily affects infants and young children, but it can also occur in adults, a condition known as Bronchiolitis in Adults. This condition, though less frequent in adults, can be severe and requires prompt medical attention. Understanding the causes, symptoms, diagnosis, and treatment options for Bronchiolitis in Adults is crucial for effective management and recovery.

Understanding Bronchiolitis in Adults

Bronchiolitis in Adults is an inflammation of the small airways in the lungs, known as bronchioles. This inflammation is typically caused by a viral infection, with respiratory syncytial virus (RSV) being the most common culprit. However, other viruses such as influenza, parainfluenza, and adenovirus can also lead to Bronchiolitis in Adults.

While Bronchiolitis in Adults shares similarities with bronchiolitis in children, it often presents with different symptoms and requires a tailored approach to diagnosis and treatment. Adults with underlying respiratory conditions, such as chronic obstructive pulmonary disease (COPD) or asthma, are at a higher risk of developing severe Bronchiolitis in Adults.

Symptoms of Bronchiolitis in Adults

The symptoms of Bronchiolitis in Adults can vary widely, but they generally include:

  • Coughing
  • Shortness of breath
  • Wheezing
  • Fever
  • Chest discomfort
  • Rapid breathing
  • Fatigue

In some cases, Bronchiolitis in Adults can lead to more severe symptoms such as:

  • Cyanosis (bluish discoloration of the skin due to lack of oxygen)
  • Respiratory failure
  • Pneumonia

These severe symptoms require immediate medical attention.

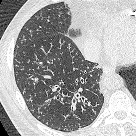
Diagnosing Bronchiolitis in Adults

Diagnosing Bronchiolitis in Adults involves a combination of physical examination, medical history, and diagnostic tests. The healthcare provider will typically:

  • Conduct a physical examination to listen to the lungs for abnormal sounds such as wheezing or crackles.
  • Review the patient's medical history, including any recent illnesses or exposure to respiratory infections.
  • Order diagnostic tests such as chest X-rays, blood tests, and sputum cultures to identify the underlying cause of the infection.

In some cases, a pulmonary function test may be performed to assess the severity of the condition and monitor the patient's progress.

Treatment Options for Bronchiolitis in Adults

The treatment for Bronchiolitis in Adults focuses on managing symptoms, supporting respiratory function, and addressing the underlying viral infection. Common treatment options include:

  • Rest and hydration: Ensuring adequate rest and fluid intake to support the body's natural healing processes.
  • Over-the-counter medications: Using over-the-counter pain relievers and fever reducers such as acetaminophen or ibuprofen to manage symptoms.
  • Bronchodilators: Inhaled medications that help open the airways and improve breathing.
  • Oxygen therapy: Providing supplemental oxygen to patients with severe respiratory distress.
  • Antiviral medications: In some cases, antiviral drugs may be prescribed to treat the underlying viral infection.

For patients with severe Bronchiolitis in Adults, hospitalization may be necessary to provide intensive respiratory support and monitor the patient's condition closely.

Preventing Bronchiolitis in Adults

Preventing Bronchiolitis in Adults involves taking steps to reduce the risk of viral infections. Some effective prevention strategies include:

  • Practicing good hygiene: Washing hands frequently with soap and water, especially before eating and after using the restroom.
  • Avoiding close contact with sick individuals: Staying away from people who are ill, especially those with respiratory infections.
  • Getting vaccinated: Receiving annual flu vaccines and other recommended vaccinations to protect against common respiratory viruses.
  • Maintaining a healthy lifestyle: Eating a balanced diet, exercising regularly, and getting adequate sleep to support overall health and immune function.

For adults with underlying respiratory conditions, it is essential to follow the healthcare provider's recommendations for managing these conditions and reducing the risk of complications from Bronchiolitis in Adults.

Risk Factors for Bronchiolitis in Adults

Several factors can increase the risk of developing Bronchiolitis in Adults. Understanding these risk factors can help individuals take proactive measures to protect their health. Common risk factors include:

  • Underlying respiratory conditions: Adults with conditions such as COPD, asthma, or cystic fibrosis are at a higher risk of developing severe Bronchiolitis in Adults.
  • Weakened immune system: Individuals with compromised immune systems, such as those undergoing chemotherapy or living with HIV, are more susceptible to respiratory infections.
  • Smoking: Smoking damages the lungs and weakens the immune system, making it harder for the body to fight off infections.
  • Age: Older adults are at a higher risk of developing severe respiratory infections due to age-related changes in the immune system.
  • Exposure to respiratory viruses: Close contact with individuals who have respiratory infections increases the risk of contracting the virus.

By being aware of these risk factors, adults can take steps to reduce their risk of developing Bronchiolitis in Adults and seek prompt medical attention if symptoms arise.

Complications of Bronchiolitis in Adults

While Bronchiolitis in Adults is often a mild condition, it can lead to serious complications, especially in individuals with underlying health conditions. Some potential complications include:

  • Pneumonia: Infection of the lungs that can cause severe respiratory distress and require hospitalization.
  • Respiratory failure: In severe cases, Bronchiolitis in Adults can lead to respiratory failure, requiring mechanical ventilation to support breathing.
  • Chronic lung disease: Repeated episodes of Bronchiolitis in Adults can contribute to the development of chronic lung conditions such as COPD.
  • Secondary infections: The weakened immune system and damaged lung tissue can make individuals more susceptible to secondary bacterial infections.

Prompt diagnosis and treatment of Bronchiolitis in Adults can help prevent these complications and improve outcomes.

When to Seek Medical Attention

It is essential to recognize when Bronchiolitis in Adults requires medical attention. Seek immediate medical care if you experience any of the following symptoms:

  • Severe shortness of breath or difficulty breathing
  • Chest pain or discomfort
  • High fever (above 103°F or 39.4°C)
  • Bluish discoloration of the skin, lips, or fingernails
  • Confusion or altered mental status
  • Rapid heart rate

Even if symptoms are mild, it is important to consult a healthcare provider for a proper diagnosis and treatment plan.

📌 Note: If you have underlying respiratory conditions or a weakened immune system, it is crucial to seek medical attention promptly if you develop symptoms of Bronchiolitis in Adults.

Living with Bronchiolitis in Adults

Living with Bronchiolitis in Adults can be challenging, but with proper management and support, individuals can recover and maintain their quality of life. Some tips for living with Bronchiolitis in Adults include:

  • Following the healthcare provider's treatment plan: Taking medications as prescribed and attending follow-up appointments to monitor progress.
  • Practicing good hygiene: Washing hands frequently and avoiding close contact with sick individuals to prevent the spread of infections.
  • Maintaining a healthy lifestyle: Eating a balanced diet, exercising regularly, and getting adequate sleep to support overall health and immune function.
  • Managing underlying conditions: Following the healthcare provider's recommendations for managing any underlying respiratory conditions or immune system disorders.
  • Seeking support: Connecting with support groups or healthcare providers for emotional support and guidance during recovery.

By taking these steps, individuals can effectively manage Bronchiolitis in Adults and improve their overall health and well-being.

Bronchiolitis in adults is a respiratory condition that, while less common than in children, can be severe and require prompt medical attention. Understanding the causes, symptoms, diagnosis, and treatment options for Bronchiolitis in Adults is crucial for effective management and recovery. By taking proactive measures to prevent the condition and seeking timely medical care, adults can minimize the risk of complications and improve their overall health and well-being.

Related Terms:

  • signs of bronchiolitis in adults
  • viral bronchiolitis in adults
  • bronchitis treatment
  • most common cause of bronchiolitis
  • rsv bronchiolitis
  • bronchiolitis symptoms and treatment adults
Facebook Twitter WhatsApp
Related Posts
Don't Miss