Learning

Broken Ankle Recovery Time

Broken Ankle Recovery Time
Broken Ankle Recovery Time

Suffering a broken ankle can be a challenging experience, but understanding the recovery process can help you navigate this period more effectively. The broken ankle recovery time varies depending on the severity of the fracture and the individual's overall health. This guide will walk you through the essential steps and considerations for a successful recovery.

Understanding Broken Ankles

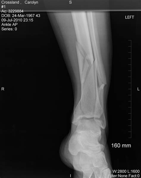
A broken ankle occurs when one or more of the bones that make up the ankle joint are fractured. The ankle joint is composed of three bones: the tibia, fibula, and talus. Fractures can range from minor cracks to severe breaks that require surgical intervention. The broken ankle recovery time can vary significantly based on the type and severity of the fracture.

Initial Treatment

Immediate care after a broken ankle is crucial for minimizing pain and preventing further damage. Here are the steps to take:

  • Rest: Avoid putting weight on the injured ankle to prevent further injury.
  • Ice: Apply an ice pack to the affected area for 15-20 minutes every few hours to reduce swelling.
  • Compression: Use an elastic bandage to wrap the ankle gently, which helps control swelling.
  • Elevation: Keep the ankle elevated above the level of the heart to reduce swelling.

It is essential to seek medical attention as soon as possible. A healthcare professional will perform an X-ray to determine the extent of the fracture and develop an appropriate treatment plan.

Medical Interventions

Depending on the severity of the fracture, medical interventions may include:

  • Immobilization: A cast or splint may be used to keep the ankle stable and promote healing.
  • Surgery: In cases of severe fractures, surgery may be required to realign the bones and stabilize the joint.
  • Medication: Pain relievers and anti-inflammatory drugs may be prescribed to manage pain and reduce swelling.

Your healthcare provider will discuss the best course of action based on your specific injury and overall health.

Rehabilitation and Physical Therapy

Once the initial healing phase is complete, rehabilitation and physical therapy play a crucial role in the recovery process. The goal is to restore strength, flexibility, and range of motion to the ankle. Here are some key components of rehabilitation:

  • Range of Motion Exercises: Gentle exercises to improve the ankle's flexibility and mobility.
  • Strengthening Exercises: Exercises to build muscle strength around the ankle, which helps support the joint.
  • Balance and Proprioception Training: Activities to improve balance and the body's awareness of the ankle's position.
  • Gradual Weight-Bearing: Slowly increasing the amount of weight placed on the ankle as it heals.

Physical therapy sessions are typically scheduled regularly, and a therapist will guide you through a personalized exercise program. Consistency and adherence to the therapy plan are essential for a successful recovery.

Managing Pain and Swelling

Pain and swelling are common during the broken ankle recovery time. Effective management strategies include:

  • Medication: Over-the-counter pain relievers and anti-inflammatory drugs can help manage pain and reduce swelling.
  • Ice Therapy: Continuing to apply ice packs to the affected area can help control swelling.
  • Elevation: Keeping the ankle elevated, especially during the first few weeks, can reduce swelling.
  • Compression: Using compression socks or wraps can help control swelling and provide support.

It is important to follow your healthcare provider's recommendations for pain management and to avoid activities that exacerbate pain or swelling.

Nutrition and Lifestyle

Proper nutrition and lifestyle choices can significantly impact the broken ankle recovery time. Here are some tips to support healing:

  • Balanced Diet: Consume a diet rich in vitamins and minerals, particularly calcium and vitamin D, which are essential for bone health.
  • Hydration: Stay hydrated by drinking plenty of water, which aids in the healing process.
  • Avoid Smoking and Alcohol: Both can impair the body's ability to heal and should be avoided during recovery.
  • Adequate Rest: Ensure you get enough sleep and rest to support the body's natural healing processes.

Maintaining a healthy lifestyle can accelerate recovery and improve overall well-being.

Returning to Normal Activities

The timeline for returning to normal activities varies based on the severity of the fracture and individual healing rates. Generally, it can take several weeks to a few months to fully recover. Here are some milestones to expect:

  • Non-Weight-Bearing Phase: Initially, you will need to avoid putting weight on the ankle. This phase can last from a few weeks to a month.
  • Partial Weight-Bearing Phase: Gradually increasing the amount of weight placed on the ankle as it heals. This phase can last several weeks.
  • Full Weight-Bearing Phase: Returning to normal activities, including walking and standing for extended periods. This phase can take several months.

Your healthcare provider will guide you through these phases and determine when it is safe to return to more strenuous activities, such as sports or heavy lifting.

๐Ÿ“ Note: It is crucial to follow your healthcare provider's instructions and not rush the recovery process. Returning to activities too soon can lead to re-injury or complications.

Preventing Future Injuries

Once you have fully recovered from a broken ankle, taking steps to prevent future injuries is essential. Here are some strategies to consider:

  • Strengthening Exercises: Continue with strengthening exercises to maintain muscle strength and support around the ankle.
  • Balance Training: Incorporate balance and proprioception exercises into your routine to improve stability.
  • Proper Footwear: Wear supportive and well-fitting shoes to provide adequate support and cushioning.
  • Avoid High-Risk Activities: Be cautious with activities that pose a high risk of ankle injuries, such as high-impact sports or uneven surfaces.

By taking proactive measures, you can reduce the risk of future ankle injuries and maintain overall foot health.

Ankle Fracture

Common Complications

While most people recover fully from a broken ankle, there are potential complications to be aware of. These include:

  • Non-Union: The bones do not heal properly and remain separated.
  • Malunion: The bones heal in an improper position, leading to deformity or instability.
  • Arthritis: Long-term pain and stiffness in the ankle joint due to the injury.
  • Infection: Risk of infection, especially if surgery is required.

Regular follow-ups with your healthcare provider can help monitor your progress and address any complications promptly.

Broken Ankle Recovery Time: A Detailed Breakdown

The broken ankle recovery time can be broken down into several phases, each with its own set of goals and activities. Here is a detailed breakdown:

Phase Duration Goals Activities
Acute Phase 0-2 weeks Reduce pain and swelling, promote initial healing Rest, ice, compression, elevation, immobilization
Subacute Phase 2-6 weeks Improve range of motion, begin gentle exercises Range of motion exercises, gentle stretching, partial weight-bearing
Rehabilitation Phase 6-12 weeks Restore strength, flexibility, and balance Strengthening exercises, balance training, gradual weight-bearing
Return to Activity Phase 12+ weeks Return to normal activities and prevent future injuries Full weight-bearing, return to sports or heavy lifting, preventive exercises

This breakdown provides a general timeline, but individual recovery times may vary. It is essential to work closely with your healthcare provider to tailor the recovery plan to your specific needs.

๐Ÿ“ Note: The broken ankle recovery time can be influenced by various factors, including age, overall health, and the severity of the fracture. Patience and adherence to the recovery plan are key to a successful outcome.

Recovering from a broken ankle requires patience, dedication, and a well-structured plan. By understanding the recovery process, following medical advice, and taking proactive measures, you can navigate this challenging period effectively. The broken ankle recovery time is an opportunity to focus on healing and regaining strength, ultimately leading to a full recovery and improved overall health.

Related Terms:

  • broken ankle recovery timeline
  • fractured ankle recovery time
  • broken ankle surgery recovery time
  • broken ankle recovery time nhs
  • broken ankle surgery recovery timeline
Facebook Twitter WhatsApp
Related Posts
Don't Miss