Learning

Brain Haemorrhage Operation

Brain Haemorrhage Operation
Brain Haemorrhage Operation

Understanding the complexities and intricacies of a Brain Haemorrhage Operation is crucial for both medical professionals and patients. This procedure, often life-saving, involves delicate surgical techniques to address bleeding within the brain. The following guide delves into the various aspects of a Brain Haemorrhage Operation, from the types of haemorrhages to the surgical procedures and post-operative care.

Understanding Brain Haemorrhages

A brain haemorrhage occurs when a blood vessel in the brain ruptures, leading to bleeding within or around the brain. This can be caused by various factors, including high blood pressure, aneurysms, or trauma. The severity of a brain haemorrhage can vary widely, and prompt medical intervention is often necessary to prevent further damage.

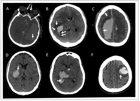
Types of Brain Haemorrhages

Brain haemorrhages can be categorized into several types based on their location and cause:

  • Intracerebral Haemorrhage (ICH): This type occurs when a blood vessel within the brain bursts, leading to bleeding directly into the brain tissue.
  • Subarachnoid Haemorrhage (SAH): This involves bleeding into the subarachnoid space, the area between the brain and the tissues that cover it.
  • Epidural Haemorrhage: This type occurs when blood accumulates between the skull and the dura mater, the outermost layer of the meninges.
  • Subdural Haemorrhage: This involves bleeding between the dura mater and the arachnoid mater, the middle layer of the meninges.

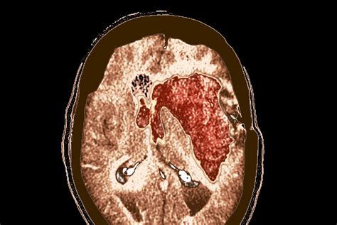
Diagnosing a Brain Haemorrhage

Diagnosing a brain haemorrhage typically involves a combination of clinical evaluation and imaging tests. Common diagnostic procedures include:

  • Computed Tomography (CT) Scan: This imaging test provides detailed images of the brain and can quickly detect the presence of bleeding.
  • Magnetic Resonance Imaging (MRI): This test uses magnetic fields and radio waves to produce detailed images of the brain, helping to identify the location and extent of the haemorrhage.
  • Angiography: This procedure involves injecting a contrast dye into the blood vessels to visualize them and identify any abnormalities, such as aneurysms or arteriovenous malformations (AVMs).

Preparing for a Brain Haemorrhage Operation

Preparation for a Brain Haemorrhage Operation involves several steps to ensure the best possible outcome. These steps include:

  • Medical Evaluation: A thorough medical evaluation is conducted to assess the patient's overall health and identify any underlying conditions that may affect the surgery.
  • Imaging Tests: Additional imaging tests may be performed to gather more detailed information about the haemorrhage and plan the surgical approach.
  • Pre-operative Counseling: The medical team provides counseling to the patient and their family, explaining the procedure, risks, and expected outcomes.
  • Medication Management: Any medications that may interfere with the surgery, such as blood thinners, are adjusted or temporarily discontinued.

Surgical Procedures for Brain Haemorrhage

The surgical approach for a Brain Haemorrhage Operation depends on the type and location of the haemorrhage. Common surgical procedures include:

  • Craniotomy: This involves removing a portion of the skull to access the brain and remove the blood clot or repair the damaged blood vessel.
  • Endovascular Coiling: This minimally invasive procedure involves inserting a catheter into a blood vessel and navigating it to the site of the aneurysm, where coils are placed to block blood flow and prevent further bleeding.
  • Stereotactic Aspiration: This procedure uses a stereotactic frame to guide a needle to the site of the haemorrhage, where the blood clot is aspirated.
  • Ventriculostomy: This involves placing a catheter into the ventricles of the brain to drain excess cerebrospinal fluid and reduce pressure.

Post-Operative Care

Post-operative care is crucial for a successful recovery from a Brain Haemorrhage Operation. Key aspects of post-operative care include:

  • Monitoring: Close monitoring of vital signs, neurological status, and any signs of complications.
  • Medication Management: Administration of medications to manage pain, prevent seizures, and control blood pressure.
  • Physical Therapy: Early mobilization and physical therapy to help regain strength and mobility.
  • Rehabilitation: Comprehensive rehabilitation programs to address any cognitive or motor deficits resulting from the haemorrhage.

Potential Complications

While a Brain Haemorrhage Operation can be life-saving, it is not without risks. Potential complications include:

  • Infection: Risk of infection at the surgical site or within the brain.
  • Bleeding: Continued or recurrent bleeding within the brain.
  • Seizures: Development of seizures post-surgery.
  • Cognitive Impairment: Potential for cognitive deficits or memory loss.
  • Motor Deficits: Weakness or paralysis on one side of the body.

📝 Note: The risks and complications associated with a Brain Haemorrhage Operation can vary depending on the individual patient's health and the specifics of the procedure. It is essential to discuss these potential risks with the medical team before undergoing surgery.

Recovery and Rehabilitation

Recovery from a Brain Haemorrhage Operation can be a lengthy process, depending on the severity of the haemorrhage and the extent of the surgery. Key components of the recovery process include:

  • Inpatient Care: Initial recovery in a hospital setting with close monitoring and medical support.
  • Outpatient Rehabilitation: Continued rehabilitation through outpatient programs, including physical therapy, occupational therapy, and speech therapy.
  • Support Groups: Participation in support groups for patients and families to share experiences and gain emotional support.
  • Follow-up Care: Regular follow-up appointments with the medical team to monitor progress and address any ongoing issues.

Long-Term Outlook

The long-term outlook for patients who have undergone a Brain Haemorrhage Operation can vary widely. Factors that influence the prognosis include:

  • Severity of the Haemorrhage: The extent and location of the bleeding within the brain.
  • Promptness of Treatment: The speed at which medical intervention is provided.
  • Overall Health: The patient's overall health and any underlying medical conditions.
  • Rehabilitation Efforts: The patient's commitment to rehabilitation and follow-up care.

While some patients may make a full recovery, others may experience long-term effects such as cognitive impairment, motor deficits, or emotional changes. Ongoing support and rehabilitation are essential for optimizing the patient's quality of life.

In conclusion, a Brain Haemorrhage Operation is a complex and critical procedure that requires careful planning, skilled execution, and comprehensive post-operative care. Understanding the types of brain haemorrhages, the diagnostic process, surgical procedures, and the importance of rehabilitation can help patients and their families navigate this challenging journey with greater confidence and knowledge. The collaboration between medical professionals and patients is key to achieving the best possible outcomes and ensuring a successful recovery.

Related Terms:

  • recovery from brain bleed surgery
  • brain hemorrhage symptoms
  • surgery to stop brain bleeding
  • brain hemorrhage surgery success rate
  • procedure to stop brain bleed
  • brain bleeding procedure for elderly
Facebook Twitter WhatsApp
Related Posts
Don't Miss