Learning

Boot Shaped Heart

Boot Shaped Heart
Boot Shaped Heart

Embarking on a journey to understand the intricacies of a boot shaped heart reveals a fascinating blend of medical science, cultural symbolism, and personal narratives. This unique cardiac condition, characterized by the heart's distinctive shape, offers a window into the complexities of human anatomy and the emotional journeys of those who live with it.

Understanding the Boot Shaped Heart

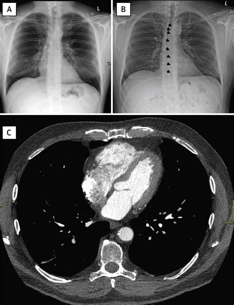
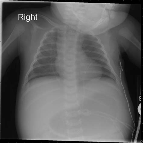
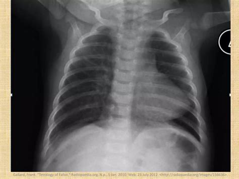
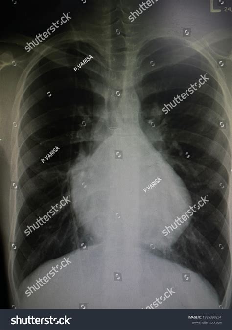
A boot shaped heart is a rare congenital heart defect where the heart takes on an unusual shape, resembling a boot. This condition is often associated with other cardiac abnormalities and can significantly impact an individual's health and quality of life. Understanding the anatomy and physiology of a boot shaped heart is crucial for medical professionals and patients alike.

Anatomy and Physiology

The heart is a complex organ responsible for pumping blood throughout the body. In a boot shaped heart, the chambers and valves may be malformed or misaligned, leading to various complications. The most common issues include:

  • Ventricular Septal Defect (VSD): A hole in the wall separating the heart's lower chambers.
  • Atrial Septal Defect (ASD): A hole in the wall separating the heart's upper chambers.
  • Pulmonary Stenosis: Narrowing of the pulmonary valve, which controls blood flow from the heart to the lungs.
  • Aortic Stenosis: Narrowing of the aortic valve, which controls blood flow from the heart to the rest of the body.

These defects can cause blood to flow inefficiently, leading to symptoms such as shortness of breath, fatigue, and cyanosis (a bluish discoloration of the skin due to lack of oxygen).

Diagnosis and Treatment

Diagnosing a boot shaped heart involves a combination of imaging techniques and clinical evaluations. Common diagnostic tools include:

  • Echocardiogram: An ultrasound of the heart that provides detailed images of the heart's structure and function.
  • Electrocardiogram (ECG): A test that records the heart's electrical activity.
  • Cardiac Catheterization: A procedure where a thin tube is inserted into the heart to measure pressure and blood flow.
  • Magnetic Resonance Imaging (MRI): A detailed imaging technique that provides high-resolution images of the heart.

Treatment options for a boot shaped heart depend on the severity of the condition and the specific defects present. Common treatments include:

  • Medications: To manage symptoms and improve heart function.
  • Surgery: To repair or replace defective valves and close septal defects.
  • Catheter-Based Procedures: Minimally invasive techniques to correct certain defects.

Early diagnosis and intervention are crucial for improving outcomes and quality of life for individuals with a boot shaped heart.

πŸ“ Note: Regular follow-ups with a cardiologist are essential for monitoring the condition and adjusting treatment plans as needed.

Cultural and Symbolic Significance

The boot shaped heart holds significant cultural and symbolic meaning beyond its medical implications. In various cultures, the heart is often seen as a symbol of love, courage, and resilience. A boot shaped heart can represent the unique journey of individuals who live with this condition, embodying strength and perseverance in the face of adversity.

In literature and art, the heart is a recurring motif that evokes deep emotions and personal narratives. A boot shaped heart can be a powerful symbol in stories and visual arts, representing the complexities of human experience and the beauty of individuality.

Personal Narratives

Living with a boot shaped heart is a deeply personal experience. Individuals with this condition often share their stories to raise awareness and inspire others. These narratives highlight the challenges and triumphs of living with a rare cardiac defect, offering a glimpse into the resilience and courage of those who navigate this journey.

One such narrative is that of Sarah, a young woman who was diagnosed with a boot shaped heart at birth. Sarah's journey has been marked by numerous surgeries and medical interventions, but she has never let her condition define her. Through her story, she aims to educate others about congenital heart defects and the importance of early diagnosis and treatment.

Another inspiring story is that of Alex, a professional athlete who was born with a boot shaped heart. Despite the challenges, Alex has achieved remarkable success in his sporting career, proving that a rare cardiac condition does not have to limit one's potential. His story serves as a testament to the power of determination and the human spirit.

Support and Community

Living with a boot shaped heart can be isolating, but there are numerous support groups and communities dedicated to providing assistance and encouragement. These groups offer a safe space for individuals and their families to share experiences, seek advice, and find comfort in knowing they are not alone.

Some notable organizations include:

Organization Description
Children's Heart Foundation Dedicated to supporting children with congenital heart defects and their families.
Adult Congenital Heart Association (ACHA) Provides resources and support for adults living with congenital heart defects.
Congenital Heart Information Network (CHIN) Offers comprehensive information and support for individuals and families affected by congenital heart defects.

These organizations play a crucial role in raising awareness, advocating for better healthcare, and providing emotional support to those living with a boot shaped heart.

πŸ“ Note: Joining a support group can provide valuable insights and emotional support, making the journey with a boot shaped heart more manageable.

Research and Future Directions

Research into congenital heart defects, including the boot shaped heart, is ongoing. Advances in medical technology and surgical techniques continue to improve outcomes and quality of life for individuals with these conditions. Some key areas of research include:

  • Genetic Studies: Identifying the genetic factors that contribute to congenital heart defects.
  • Stem Cell Therapy: Exploring the use of stem cells to repair damaged heart tissue.
  • Minimally Invasive Procedures: Developing less invasive surgical techniques to correct heart defects.
  • Personalized Medicine: Tailoring treatment plans to individual genetic and physiological profiles.

These advancements hold promise for better diagnosis, treatment, and management of a boot shaped heart, offering hope for a brighter future for those affected.

In conclusion, the boot shaped heart is a complex and multifaceted condition that touches on various aspects of medical science, cultural symbolism, and personal narratives. Understanding its anatomy, diagnosis, and treatment is crucial for improving outcomes and quality of life. The stories of individuals living with this condition serve as a reminder of the resilience and courage of the human spirit. Through ongoing research and support, we can continue to make strides in managing and treating congenital heart defects, offering hope and support to those who navigate this unique journey.

Related Terms:

  • xray boot shaped heart
  • tetralogy of fallot
  • boot shaped heart causes
  • boot shaped heart adult
  • tetralogy of fallot 4 defects
  • boot shaped heart images
Facebook Twitter WhatsApp
Related Posts
Don't Miss