Learning

Bone Marrow Edema

Bone Marrow Edema
Bone Marrow Edema

Bone marrow edema is a condition that affects the bone marrow, the spongy tissue inside bones responsible for producing blood cells. This condition is characterized by an increase in fluid within the bone marrow, leading to swelling and inflammation. Understanding bone marrow edema, its causes, symptoms, diagnosis, and treatment options is crucial for effective management and improved quality of life.

Understanding Bone Marrow Edema

Bone marrow edema is a medical term that refers to the accumulation of fluid within the bone marrow. This condition can occur in various parts of the body, including the spine, hips, knees, and ankles. The edema can cause significant pain and discomfort, affecting daily activities and overall mobility. It is essential to recognize the signs and symptoms of bone marrow edema to seek timely medical intervention.

Causes of Bone Marrow Edema

Bone marrow edema can be caused by a variety of factors, including:

  • Trauma or Injury: Direct trauma to the bone, such as fractures or dislocations, can lead to bone marrow edema.
  • Overuse or Repetitive Stress: Activities that involve repetitive stress on the bones, such as running or jumping, can cause bone marrow edema.
  • Inflammatory Conditions: Conditions like rheumatoid arthritis or osteoarthritis can contribute to bone marrow edema.
  • Infections: Bone infections, such as osteomyelitis, can cause inflammation and edema within the bone marrow.
  • Bone Tumors: Both benign and malignant tumors can lead to bone marrow edema.
  • Metabolic Disorders: Conditions like osteoporosis or avascular necrosis can also result in bone marrow edema.

Symptoms of Bone Marrow Edema

The symptoms of bone marrow edema can vary depending on the location and severity of the condition. Common symptoms include:

  • Pain: Persistent or intermittent pain in the affected area, which can worsen with activity.
  • Swelling: Visible swelling or inflammation in the affected joint or bone.
  • Stiffness: Reduced range of motion and stiffness in the affected area.
  • Weakness: Weakness in the affected limb, making it difficult to perform daily activities.

In some cases, bone marrow edema may not cause any symptoms, and the condition is discovered incidentally during imaging tests for other conditions.

Diagnosing Bone Marrow Edema

Diagnosing bone marrow edema involves a combination of medical history, physical examination, and imaging tests. The diagnostic process typically includes:

  • Medical History: A detailed medical history to identify any underlying conditions or recent injuries.
  • Physical Examination: A thorough physical examination to assess the affected area for pain, swelling, and range of motion.
  • Imaging Tests: Various imaging tests can help diagnose bone marrow edema, including:
Imaging Test Description
X-ray Provides a basic view of the bone structure but may not show bone marrow edema clearly.
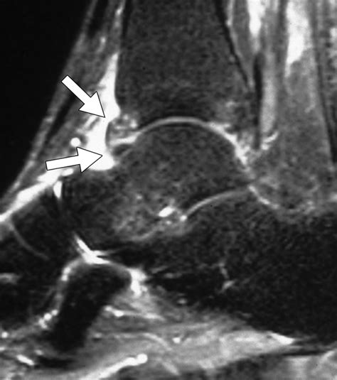
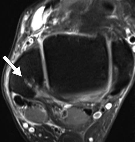
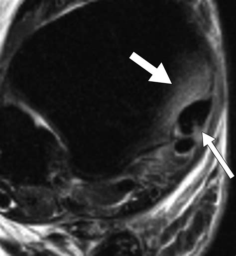
Magnetic Resonance Imaging (MRI) Offers detailed images of the bone marrow and surrounding tissues, making it the gold standard for diagnosing bone marrow edema.
Computed Tomography (CT) Scan Provides cross-sectional images of the bone and can help identify fractures or other abnormalities.
Bone Scan Uses a radioactive tracer to highlight areas of increased bone activity, which can indicate bone marrow edema.

In some cases, a biopsy of the bone marrow may be necessary to rule out other conditions, such as infections or tumors.

๐Ÿ“ Note: Early diagnosis and treatment of bone marrow edema can prevent complications and improve outcomes.

Treatment Options for Bone Marrow Edema

The treatment of bone marrow edema depends on the underlying cause, severity of symptoms, and individual patient factors. Common treatment options include:

  • Rest and Activity Modification: Avoiding activities that exacerbate symptoms and allowing the affected area to rest.
  • Pain Management: Over-the-counter pain relievers, such as acetaminophen or nonsteroidal anti-inflammatory drugs (NSAIDs), can help manage pain and inflammation.
  • Physical Therapy: Exercises to improve strength, flexibility, and range of motion in the affected area.
  • Bracing or Support: Using braces, splints, or other supportive devices to stabilize the affected joint or bone.
  • Injections: Corticosteroid injections to reduce inflammation and pain.
  • Surgery: In severe cases, surgical intervention may be necessary to address underlying conditions, such as fractures or tumors.

In addition to these treatment options, lifestyle modifications such as maintaining a healthy weight, avoiding high-impact activities, and ensuring adequate nutrition can help manage bone marrow edema and prevent recurrence.

Preventing Bone Marrow Edema

While not all cases of bone marrow edema can be prevented, there are several strategies to reduce the risk of developing this condition:

  • Maintain a Healthy Lifestyle: Engage in regular exercise, maintain a balanced diet, and avoid smoking and excessive alcohol consumption.
  • Proper Warm-Up and Cool-Down: Before engaging in physical activities, warm up properly and cool down afterward to prevent injuries.
  • Use Protective Gear: Wear appropriate protective gear during sports or other high-risk activities to minimize the risk of trauma.
  • Manage Underlying Conditions: Effectively manage any underlying conditions, such as arthritis or osteoporosis, to reduce the risk of bone marrow edema.

Regular check-ups and early intervention for any symptoms can also help prevent the development of bone marrow edema.

๐Ÿ“ Note: Prevention strategies may vary depending on individual risk factors and underlying conditions.

Bone marrow edema is a complex condition that requires a comprehensive approach to diagnosis and treatment. By understanding the causes, symptoms, and available treatment options, individuals can take proactive steps to manage this condition effectively. Early intervention and lifestyle modifications can significantly improve outcomes and enhance the quality of life for those affected by bone marrow edema.

Related Terms:

  • what is bone marrow oedema
  • treatment for bone marrow edema
  • abnormal bone marrow oedema
  • is bone marrow edema serious
  • what is a marrow edema
  • causes of bone marrow oedema
Facebook Twitter WhatsApp
Related Posts
Don't Miss