Learning

Blood Through A Microscope

Blood Through A Microscope
Blood Through A Microscope

Exploring the microscopic world of blood is a fascinating journey that reveals the intricate details of our circulatory system. By examining blood through a microscope, we can gain insights into various aspects of health and disease. This process involves several steps, from sample preparation to microscopic observation, each crucial for accurate analysis.

Understanding Blood Components

Before diving into the microscopic examination, it’s essential to understand the basic components of blood. Blood is composed of several key elements:

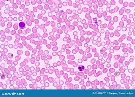
  • Red Blood Cells (Erythrocytes): These cells are responsible for transporting oxygen from the lungs to the body’s tissues and carbon dioxide back to the lungs.
  • White Blood Cells (Leukocytes): These cells play a crucial role in the immune system, helping to fight infections and diseases.
  • Platelets (Thrombocytes): These are involved in blood clotting and wound healing.
  • Plasma: This is the liquid portion of blood that carries nutrients, hormones, and proteins throughout the body.

Preparing Blood Samples for Microscopic Examination

Proper preparation of blood samples is vital for accurate microscopic observation. The process typically involves the following steps:

  • Blood Collection: Blood is usually collected from a vein using a syringe or a lancet for a finger prick.
  • Sample Preparation: The collected blood is mixed with an anticoagulant to prevent clotting. Common anticoagulants include EDTA (Ethylenediaminetetraacetic acid) and heparin.
  • Smear Creation: A small drop of blood is placed on a clean glass slide, and another slide is used to spread the blood into a thin layer. This process creates a blood smear.
  • Staining: The blood smear is stained with a dye, such as Wright’s stain or Giemsa stain, to enhance the visibility of different blood components under the microscope.

Microscopic Observation of Blood

Once the blood sample is prepared, it can be observed under a microscope. The type of microscope used can vary, but a light microscope is commonly employed for this purpose. Here are the steps involved in microscopic observation:

  • Slide Placement: The stained blood smear is placed on the microscope stage.
  • Focus Adjustment: The microscope’s focus is adjusted to bring the blood cells into clear view. This usually involves using the coarse and fine adjustment knobs.
  • Observation: The blood cells are observed at different magnifications. Typically, a 10x objective lens is used for an initial overview, followed by a 40x or 100x objective lens for detailed examination.

During the observation, various blood components can be identified:

  • Red Blood Cells: These appear as biconcave discs with a central pallor.
  • White Blood Cells: These are larger and more varied in shape and size. They can be classified into different types, including neutrophils, lymphocytes, monocytes, eosinophils, and basophils.
  • Platelets: These are small, irregularly shaped cells that appear as granules.

Interpreting Blood Through A Microscope

Interpreting the results of a microscopic examination of blood involves identifying any abnormalities or deviations from normal patterns. This can provide valuable information about a person's health status. Some common findings include:

  • Anemia: Characterized by a decrease in the number of red blood cells or hemoglobin levels.
  • Infection: An increase in white blood cells, particularly neutrophils, may indicate an infection.
  • Blood Clotting Disorders: Abnormalities in platelet count or morphology can suggest issues with blood clotting.

Here is a table summarizing the normal ranges for different blood components:

Blood Component Normal Range
Red Blood Cells (RBC) 4.2-5.9 million cells/µL (men), 3.6-5.0 million cells/µL (women)
White Blood Cells (WBC) 4,500-11,000 cells/µL
Platelets 150,000-450,000 cells/µL
Hemoglobin 13.8-17.2 g/dL (men), 12.1-15.1 g/dL (women)
Hematocrit 38.3-48.6% (men), 35.5-44.9% (women)

📝 Note: The normal ranges can vary slightly depending on the laboratory and the specific methods used for analysis.

Advanced Techniques for Blood Analysis

In addition to traditional light microscopy, several advanced techniques are used for detailed blood analysis. These methods provide more precise and comprehensive information about blood components and their functions.

  • Flow Cytometry: This technique uses lasers and fluorescent dyes to analyze the physical and chemical characteristics of blood cells. It is particularly useful for identifying and quantifying different types of white blood cells and detecting abnormalities.
  • Electron Microscopy: This method provides high-resolution images of blood cells, allowing for detailed examination of their structure and ultrastructure. It is often used in research settings to study the fine details of blood components.
  • Molecular Techniques: Techniques such as polymerase chain reaction (PCR) and DNA sequencing can be used to analyze genetic material in blood cells, providing insights into genetic disorders and infections.

Applications of Blood Microscopy

Examining blood through a microscope has numerous applications in medical diagnosis and research. Some of the key areas include:

  • Diagnosis of Blood Disorders: Microscopic examination can help diagnose conditions such as anemia, leukemia, and thrombocytopenia.
  • Infection Detection: Identifying the presence of pathogens, such as bacteria, viruses, or parasites, in blood samples.
  • Monitoring Treatment Efficacy: Tracking changes in blood components during treatment to assess the effectiveness of therapies.
  • Research and Development: Studying blood components to understand their roles in health and disease, and developing new diagnostic and therapeutic approaches.

Microscopic examination of blood is a fundamental tool in hematology, providing valuable insights into the health and function of the circulatory system. By carefully preparing and observing blood samples, healthcare professionals can diagnose a wide range of conditions and monitor treatment progress. Advanced techniques further enhance the precision and scope of blood analysis, contributing to improved patient care and medical research.

In conclusion, the microscopic examination of blood is a critical process that offers a window into the intricate workings of our circulatory system. By understanding the components of blood and the techniques used to analyze them, we can gain valuable insights into health and disease. Whether through traditional light microscopy or advanced methods, the study of blood through a microscope continues to be an essential tool in modern medicine.

Related Terms:

  • whole blood under a microscope
  • human blood under microscope labeled
  • microscopic view of blood
  • blood sample under a microscope
  • drop of blood under microscope
  • human blood under a microscope
Facebook Twitter WhatsApp
Related Posts
Don't Miss