Learning

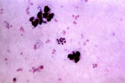
Blood Smear In Malaria

Blood Smear In Malaria
Blood Smear In Malaria

Malaria is a severe and sometimes fatal disease caused by a parasite that commonly infects a certain type of mosquito which feeds on humans. It is prevalent in warmer regions of the world and poses a significant global health challenge. One of the critical diagnostic tools for malaria is the blood smear in malaria. This method involves examining a sample of a patient's blood under a microscope to detect the presence of malaria parasites. Understanding the process, importance, and interpretation of a blood smear in malaria is essential for healthcare professionals and anyone interested in global health.

Understanding Malaria

Malaria is caused by Plasmodium parasites. The most common species that infect humans are:

  • Plasmodium falciparum
  • Plasmodium vivax
  • Plasmodium ovale
  • Plasmodium malariae
  • Plasmodium knowlesi

Each species has unique characteristics and can cause different symptoms and levels of severity. For instance, Plasmodium falciparum is the most deadly, often leading to severe complications and death if not treated promptly.

The Importance of Blood Smear in Malaria Diagnosis

The blood smear in malaria is a fundamental diagnostic tool used to confirm the presence of malaria parasites in the blood. This method is crucial for several reasons:

  • Accuracy: Blood smears provide a direct visualization of the parasites, making them highly accurate for diagnosis.
  • Species Identification: Different Plasmodium species have distinct morphological features that can be identified under a microscope.
  • Parasitemia Level: The blood smear allows healthcare professionals to estimate the level of parasitemia, which is the percentage of red blood cells infected by the parasites. This information is vital for determining the severity of the infection and guiding treatment decisions.
  • Treatment Monitoring: Blood smears can be used to monitor the effectiveness of treatment by tracking the reduction in parasite levels over time.

Preparing a Blood Smear

Preparing a blood smear involves several steps to ensure an accurate diagnosis. Here is a detailed guide:

  1. Blood Collection: A small amount of blood is collected from the patient, usually from a finger prick or venipuncture.
  2. Smear Preparation: A drop of blood is placed on a clean glass slide and spread evenly using another slide to create a thin film. This thin film is essential for accurate microscopic examination.
  3. Staining: The blood smear is stained with a dye, such as Giemsa or Wright’s stain, to enhance the visibility of the parasites under the microscope.
  4. Microscopic Examination: The stained smear is examined under a microscope, typically at 100x magnification, to identify the presence and species of malaria parasites.

🔍 Note: Proper staining and preparation techniques are crucial for accurate diagnosis. Improper techniques can lead to false negatives or misidentification of parasite species.

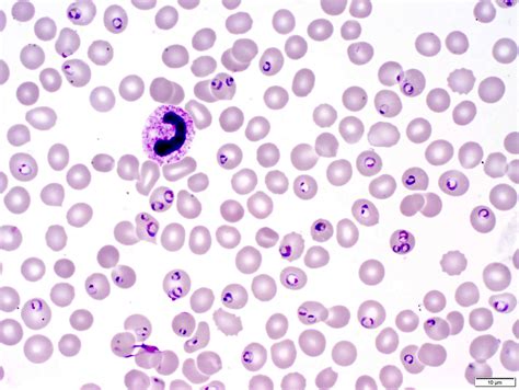
Interpreting Blood Smear Results

Interpreting a blood smear involves identifying the morphological features of the malaria parasites. Here are some key points to consider:

  • Parasite Morphology: Different Plasmodium species have distinct shapes and sizes. For example, Plasmodium falciparum parasites often appear as crescent-shaped gametocytes, while Plasmodium vivax parasites have a characteristic “band” form.
  • Parasitemia Level: The number of infected red blood cells per field of view is counted to estimate the parasitemia level. This information helps in assessing the severity of the infection.
  • Schizonts and Gametocytes: Identifying schizonts (parasites undergoing asexual reproduction) and gametocytes (sexual stages of the parasite) can provide additional information about the stage of the infection.

Here is a table summarizing the key features of different Plasmodium species:

Species Morphological Features Clinical Significance
Plasmodium falciparum Crescent-shaped gametocytes, ring forms Most severe and deadly
Plasmodium vivax Band form, enlarged infected cells Can cause relapses
Plasmodium ovale Oval-shaped infected cells, fimbriated edges Can cause relapses
Plasmodium malariae Small ring forms, band forms Can cause chronic infections
Plasmodium knowlesi Similar to P. malariae but with larger schizonts Can cause severe disease

Challenges and Limitations of Blood Smear in Malaria

While the blood smear in malaria is a valuable diagnostic tool, it has several challenges and limitations:

  • Time-Consuming: Preparing and examining blood smears can be time-consuming, especially in resource-limited settings.
  • Expertise Required: Accurate interpretation of blood smears requires trained personnel with expertise in malaria diagnosis.
  • False Negatives: Low parasitemia levels or improper staining techniques can lead to false negatives, where the parasites are not detected.
  • Limited Sensitivity: Blood smears may not detect very low levels of parasites, especially in the early stages of infection.

To overcome these challenges, rapid diagnostic tests (RDTs) and molecular methods, such as polymerase chain reaction (PCR), are increasingly being used as complementary or alternative diagnostic tools.

Advancements in Malaria Diagnosis

Recent advancements in diagnostic technologies have improved the detection and management of malaria. Some of these advancements include:

  • Rapid Diagnostic Tests (RDTs): RDTs provide quick results and are easy to use, making them suitable for field settings. They detect malaria antigens in the blood and can differentiate between different Plasmodium species.
  • Molecular Methods: PCR and other molecular techniques offer high sensitivity and specificity for detecting malaria parasites. These methods can detect very low levels of parasites and are useful for research and surveillance purposes.
  • Automated Microscopy: Automated microscopy systems use digital imaging and algorithms to analyze blood smears, reducing the need for manual examination and improving accuracy.

These advancements complement the traditional blood smear in malaria method, providing more comprehensive and accurate diagnostic capabilities.

In conclusion, the blood smear in malaria remains a cornerstone of malaria diagnosis, offering direct visualization of parasites and species identification. While it has limitations, advancements in diagnostic technologies are enhancing its effectiveness and complementing its use. Understanding the importance, preparation, and interpretation of blood smears is crucial for healthcare professionals in the fight against malaria. Continued research and development in diagnostic tools will further improve malaria detection and management, ultimately contributing to global efforts to eradicate this deadly disease.

Related Terms:

  • positive malaria thick smear
  • malaria in peripheral blood smear
  • malaria images blood smear
  • blood smear microscopy malaria
  • malaria smear thin and thick
  • blood smear test for malaria
Facebook Twitter WhatsApp
Related Posts
Don't Miss