Learning

Birdbeak Sign Flexible Sigmoidoscopy

Birdbeak Sign Flexible Sigmoidoscopy
Birdbeak Sign Flexible Sigmoidoscopy

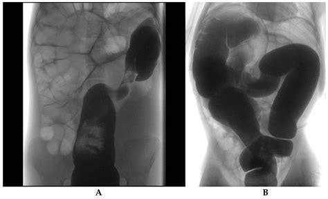
Flexible sigmoidoscopy is a crucial diagnostic procedure used to examine the lower part of the colon and rectum. One of the key indicators that may prompt this procedure is the presence of a Birdbeak Sign. This sign is a radiographic finding that suggests the presence of a sigmoid volvulus, a condition where the sigmoid colon twists on itself, leading to a bowel obstruction. Understanding the Birdbeak Sign Flexible Sigmoidoscopy is essential for healthcare professionals to accurately diagnose and manage this condition.

Understanding the Birdbeak Sign

The Birdbeak Sign is a distinctive radiographic appearance seen on abdominal X-rays or CT scans. It is characterized by a tapered, beak-like appearance of the sigmoid colon, which indicates a twist or volvulus. This sign is crucial because it helps radiologists and gastroenterologists identify the presence of a sigmoid volvulus, which is a medical emergency requiring immediate intervention.

The Role of Flexible Sigmoidoscopy

Flexible sigmoidoscopy is a minimally invasive procedure that allows for the direct visualization of the lower colon and rectum. It involves the use of a flexible, lighted tube called a sigmoidoscope, which is inserted through the anus to examine the interior of the colon. This procedure is particularly useful in diagnosing conditions such as polyps, inflammation, and, importantly, sigmoid volvulus.

Indications for Flexible Sigmoidoscopy

Flexible sigmoidoscopy is indicated in various clinical scenarios, including:

  • Screening for colorectal cancer: It is often used as a screening tool for individuals at average risk of colorectal cancer.
  • Evaluation of symptoms: Patients experiencing symptoms such as rectal bleeding, abdominal pain, or changes in bowel habits may undergo this procedure.
  • Diagnosis of sigmoid volvulus: The presence of a Birdbeak Sign on imaging studies may prompt a flexible sigmoidoscopy to confirm the diagnosis and potentially relieve the obstruction.

Preparation for Flexible Sigmoidoscopy

Proper preparation is essential for a successful flexible sigmoidoscopy. Patients are typically advised to follow a clear liquid diet for 24 hours before the procedure and to take a bowel preparation solution to cleanse the colon. This ensures that the colon is empty and that the sigmoidoscope can provide a clear view of the intestinal lining.

Procedure Steps

The flexible sigmoidoscopy procedure involves several steps:

  • Patient Positioning: The patient is usually positioned on their left side with knees bent.
  • Insertion of the Sigmoidoscope: The sigmoidoscope is gently inserted into the rectum and advanced through the colon.
  • Visualization: The gastroenterologist examines the colon for any abnormalities, such as polyps, inflammation, or signs of volvulus.
  • Biopsy or Intervention: If necessary, biopsies can be taken, or interventions such as polypectomy can be performed.
  • Withdrawal: The sigmoidoscope is carefully withdrawn, and the procedure is completed.

๐Ÿ“ Note: Patients may experience some discomfort during the procedure, but sedation is often used to minimize pain and anxiety.

Interpreting the Birdbeak Sign During Flexible Sigmoidoscopy

During a flexible sigmoidoscopy, the presence of a Birdbeak Sign can be confirmed by visualizing the twisted sigmoid colon. The sigmoidoscope allows for a direct view of the colon, enabling the gastroenterologist to assess the extent of the twist and the condition of the colonic mucosa. This direct visualization is crucial for confirming the diagnosis and planning the appropriate management strategy.

Management of Sigmoid Volvulus

Once a sigmoid volvulus is diagnosed, prompt management is essential to prevent complications such as ischemia and perforation. The management strategies include:

  • Endoscopic Detorsion: This involves using the sigmoidoscope to untwist the colon. This procedure can be performed during the flexible sigmoidoscopy and is often the first-line treatment.
  • Surgical Intervention: In cases where endoscopic detorsion is not successful or if there are signs of ischemia, surgical intervention may be necessary. This can involve a sigmoid colectomy, where the affected portion of the colon is removed.
  • Colonoscopy: In some cases, a colonoscopy may be performed to further evaluate the colon and ensure that the volvulus has been fully resolved.

Post-Procedure Care

After a flexible sigmoidoscopy, patients are typically monitored for a short period to ensure there are no complications. They may experience some bloating, cramping, or gas, which usually resolves within a few hours. Patients are advised to:

  • Rest: Take it easy for the rest of the day and avoid strenuous activities.
  • Hydrate: Drink plenty of fluids to help flush out any remaining bowel preparation solution.
  • Follow-Up: Attend any scheduled follow-up appointments to discuss the results and any further management plans.

๐Ÿ“ Note: If patients experience severe abdominal pain, fever, or rectal bleeding after the procedure, they should seek immediate medical attention.

Preventing Recurrence

Sigmoid volvulus can recur, especially if the underlying cause, such as a redundant sigmoid colon, is not addressed. Preventive measures include:

  • Surgical Intervention: In some cases, prophylactic surgery may be recommended to prevent future episodes of volvulus.
  • Lifestyle Modifications: Maintaining a healthy diet and regular bowel habits can help reduce the risk of recurrence.
  • Regular Follow-Up: Regular follow-up with a gastroenterologist can help monitor for any signs of recurrence and ensure timely intervention.

Conclusion

The Birdbeak Sign Flexible Sigmoidoscopy is a critical tool in the diagnosis and management of sigmoid volvulus. By understanding the radiographic appearance of the Birdbeak Sign and utilizing flexible sigmoidoscopy, healthcare professionals can accurately diagnose and treat this condition. Prompt intervention is essential to prevent complications and ensure the best possible outcomes for patients. Regular follow-up and preventive measures can help reduce the risk of recurrence and improve long-term health.

Related Terms:

  • bird's beak sign ct
  • flexible sigmoidoscopy definition
  • flex sigmoidoscopy patient education
Facebook Twitter WhatsApp
Related Posts
Don't Miss