Learning

Bird Fancier's Lung

Bird Fancier's Lung
Bird Fancier's Lung

Bird fanciers, or individuals who keep birds as pets, often find joy and companionship in their feathered friends. However, it's crucial to be aware of the potential health risks associated with bird ownership, one of which is Bird Fancier's Lung. This condition, also known as hypersensitivity pneumonitis, is an immune system response to inhaled antigens, often found in bird droppings, feathers, and dust. Understanding the causes, symptoms, and prevention strategies for Bird Fancier's Lung is essential for any bird enthusiast.

Understanding Bird Fancier's Lung

Bird Fancier's Lung is a type of hypersensitivity pneumonitis that occurs when the lungs become inflamed in response to inhaling certain antigens. These antigens are typically proteins found in bird droppings, feathers, and sometimes the bird's dander. The immune system reacts to these proteins, leading to inflammation and potential damage to the lung tissue.

This condition is not contagious and does not spread from person to person. Instead, it is an allergic reaction specific to the individual's immune response. The severity of Bird Fancier's Lung can vary widely, from mild symptoms to severe respiratory distress.

Causes of Bird Fancier's Lung

The primary cause of Bird Fancier's Lung is exposure to avian proteins found in bird droppings, feathers, and dust. These proteins act as antigens, triggering an immune response in susceptible individuals. The condition is more common in people who have frequent and prolonged exposure to birds, such as:

  • Bird breeders
  • Pet bird owners
  • Poultry workers
  • People who work in aviaries or bird sanctuaries

While any bird can potentially cause Bird Fancier's Lung, some species are more commonly associated with the condition. These include:

  • Parakeets
  • Parrots
  • Pigeons
  • Doves
  • Chickens

Symptoms of Bird Fancier's Lung

The symptoms of Bird Fancier's Lung can vary depending on the severity of the condition and the individual's immune response. Common symptoms include:

  • Coughing
  • Shortness of breath
  • Fever
  • Chills
  • Fatigue
  • Muscle aches
  • Weight loss

Symptoms typically appear within 4 to 12 hours after exposure to the antigens and can last for several hours to a few days. In some cases, symptoms may worsen over time with repeated exposure, leading to chronic Bird Fancier's Lung. Chronic symptoms can include:

  • Persistent cough
  • Shortness of breath, even at rest
  • Weight loss
  • Fatigue

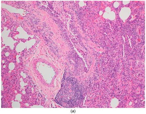
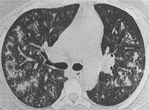
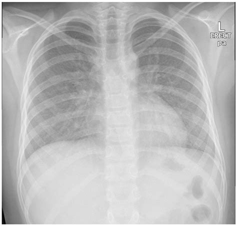
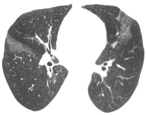
Diagnosing Bird Fancier's Lung

Diagnosing Bird Fancier's Lung involves a combination of medical history, physical examination, and diagnostic tests. If you suspect you have Bird Fancier's Lung, it's important to consult a healthcare provider. The diagnostic process may include:

  • Medical history and physical examination
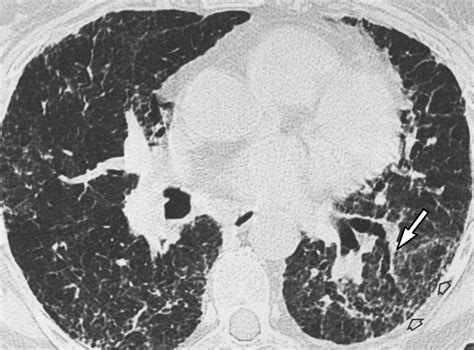
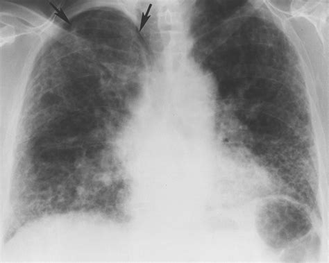
  • Chest X-ray or CT scan
  • Pulmonary function tests
  • Blood tests to check for antibodies to avian proteins
  • Bronchoalveolar lavage (BAL) to examine lung fluid

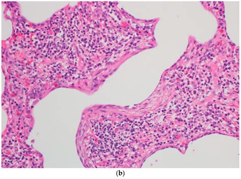
Your healthcare provider may also recommend a lung biopsy in some cases to confirm the diagnosis.

Treatment Options for Bird Fancier's Lung

The primary treatment for Bird Fancier's Lung is to avoid exposure to the antigens that trigger the immune response. This may involve:

  • Removing birds from the home or workplace
  • Wearing a mask when cleaning bird cages or handling bird droppings
  • Using a HEPA filter to remove airborne antigens

In addition to avoiding exposure, medical treatments may include:

  • Corticosteroids to reduce inflammation
  • Bronchodilators to open the airways
  • Oxygen therapy in severe cases

It's important to work closely with your healthcare provider to develop a treatment plan that addresses your specific needs and symptoms.

Preventing Bird Fancier's Lung

Preventing Bird Fancier's Lung involves minimizing exposure to avian antigens. Here are some strategies to reduce the risk:

  • Keep bird cages clean and well-ventilated
  • Wear a mask when cleaning bird cages or handling bird droppings
  • Use a HEPA filter to remove airborne antigens
  • Avoid sleeping in the same room as birds
  • Consider using a bird cage cover to contain dust and dander

If you are a bird breeder or work in an environment with frequent bird exposure, it's important to take additional precautions, such as:

  • Wearing protective clothing and gloves
  • Using respiratory protection, such as a mask or respirator
  • Regularly cleaning and disinfecting work areas

By taking these precautions, you can significantly reduce the risk of developing Bird Fancier's Lung.

Living with Bird Fancier's Lung

Living with Bird Fancier's Lung requires ongoing management and vigilance. Here are some tips for managing the condition:

  • Avoid exposure to avian antigens as much as possible
  • Follow your healthcare provider's treatment plan
  • Monitor your symptoms and report any changes to your healthcare provider
  • Maintain a healthy lifestyle, including regular exercise and a balanced diet
  • Consider joining a support group for people with Bird Fancier's Lung

It's important to remember that Bird Fancier's Lung is a manageable condition, and with the right precautions and treatment, you can continue to enjoy a good quality of life.

📝 Note: If you suspect you have Bird Fancier's Lung, it's crucial to seek medical attention promptly. Early diagnosis and treatment can prevent the condition from progressing to a more severe stage.

Bird Fancier’s Lung is a serious condition that can significantly impact the quality of life for bird enthusiasts. By understanding the causes, symptoms, and prevention strategies, you can take proactive steps to protect your health while continuing to enjoy your feathered companions. Regular check-ups with your healthcare provider and adherence to recommended precautions can help manage the condition effectively.

Related Terms:

  • bird fancier's lung nhs
  • bird fancier lung disease
  • bird fanciers lung inflammation
  • bird fancier lung x ray
  • bird fancier's lung disease
  • bird fancier's lung radiology
Facebook Twitter WhatsApp
Related Posts
Don't Miss