Learning

Biggest Vein In Body

Biggest Vein In Body
Biggest Vein In Body

The human body is a complex network of vessels that transport blood throughout the body. Among these, the biggest vein in body plays a crucial role in returning deoxygenated blood to the heart. Understanding the anatomy and function of this vein is essential for appreciating the intricate workings of the circulatory system.

The Inferior Vena Cava: The Biggest Vein in Body

The inferior vena cava (IVC) is the largest vein in the human body. It is responsible for transporting deoxygenated blood from the lower half of the body back to the heart. The IVC originates from the confluence of the common iliac veins and ascends through the abdomen, passing through the diaphragm to enter the right atrium of the heart.

Anatomy of the Inferior Vena Cava

The IVC is a long, cylindrical structure that runs vertically along the right side of the spine. It receives blood from various tributaries, including the renal veins, hepatic veins, and lumbar veins. The IVC is divided into several segments based on its anatomical location:

  • Infrahepatic Segment: This segment lies below the liver and receives blood from the renal veins and lumbar veins.
  • Hepatic Segment: This segment passes through the liver and receives blood from the hepatic veins.
  • Suprahepatic Segment: This segment lies above the liver and continues to ascend towards the heart.

Function of the Inferior Vena Cava

The primary function of the IVC is to return deoxygenated blood from the lower extremities, pelvis, and abdomen to the right atrium of the heart. This blood is then pumped to the lungs for oxygenation before being circulated back to the rest of the body. The IVC plays a vital role in maintaining the body’s overall circulatory health.

Clinical Significance of the Inferior Vena Cava

The IVC is clinically significant for several reasons. It is a common site for the placement of central venous catheters, which are used for administering medications, monitoring central venous pressure, and providing nutritional support. Additionally, the IVC is involved in various pathological conditions, including:

  • Deep Vein Thrombosis (DVT): A blood clot that forms in the deep veins of the body, often in the legs, can travel to the IVC and potentially cause a pulmonary embolism.
  • Inferior Vena Cava Filter: A device placed in the IVC to prevent blood clots from traveling to the lungs. This is often used in patients who cannot take anticoagulant medications.
  • Inferior Vena Cava Aneurysm: A rare condition where the IVC becomes dilated and can potentially rupture, leading to life-threatening bleeding.

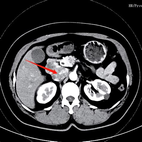
Diagnostic Imaging of the Inferior Vena Cava

Various imaging techniques are used to visualize the IVC and diagnose any abnormalities. These include:

  • Ultrasound: A non-invasive imaging technique that uses sound waves to create images of the IVC. It is often used to assess blood flow and detect any obstructions or abnormalities.
  • Computed Tomography (CT) Scan: A detailed imaging technique that provides cross-sectional images of the IVC and surrounding structures. It is useful for detecting aneurysms, thrombi, and other pathologies.
  • Magnetic Resonance Imaging (MRI): A non-invasive imaging technique that uses magnetic fields and radio waves to create detailed images of the IVC. It is particularly useful for evaluating soft tissue structures and blood flow.

Surgical Procedures Involving the Inferior Vena Cava

Several surgical procedures involve the IVC, including:

  • IVC Filter Placement: A minimally invasive procedure where a filter is placed in the IVC to prevent blood clots from traveling to the lungs.
  • IVC Ligation: A surgical procedure where the IVC is tied off to control bleeding or prevent the spread of cancer.
  • IVC Reconstruction: A complex surgical procedure where the IVC is repaired or replaced using a graft. This is often necessary in cases of trauma or tumor invasion.

Common Pathologies of the Inferior Vena Cava

The IVC can be affected by various pathologies, including:

  • Thrombosis: The formation of a blood clot within the IVC, which can obstruct blood flow and lead to complications such as pulmonary embolism.
  • Aneurysm: An abnormal dilation of the IVC, which can potentially rupture and cause life-threatening bleeding.
  • Tumor Invasion: Cancerous tumors can invade the IVC, leading to obstruction and other complications.

Preventive Measures for Inferior Vena Cava Disorders

Preventive measures for IVC disorders include:

  • Regular Exercise: Maintaining an active lifestyle can improve blood circulation and reduce the risk of blood clots.
  • Healthy Diet: Consuming a balanced diet rich in fruits, vegetables, and whole grains can help maintain overall cardiovascular health.
  • Avoiding Prolonged Immobility: Taking regular breaks to move around can help prevent blood clots, especially during long periods of sitting or lying down.
  • Hydration: Staying hydrated can help maintain proper blood viscosity and reduce the risk of blood clots.

📝 Note: If you experience symptoms such as swelling in the legs, shortness of breath, or chest pain, seek medical attention immediately, as these could be signs of an IVC disorder.

Treatment Options for Inferior Vena Cava Disorders

Treatment options for IVC disorders depend on the underlying condition and its severity. Common treatments include:

  • Anticoagulant Medications: Drugs such as heparin and warfarin are used to prevent blood clots from forming or growing.
  • Thrombolytic Therapy: Medications that dissolve blood clots, often used in cases of severe thrombosis.
  • Surgical Intervention: Procedures such as IVC filter placement, ligation, or reconstruction may be necessary in severe cases.

Research and Future Directions

Ongoing research is focused on improving the diagnosis and treatment of IVC disorders. Advances in imaging techniques, such as 4D flow MRI, are providing more detailed information about blood flow dynamics within the IVC. Additionally, new anticoagulant medications and minimally invasive surgical techniques are being developed to enhance patient outcomes.

Future directions in IVC research include:

  • Personalized Medicine: Tailoring treatment plans based on individual patient characteristics and genetic profiles.
  • Biomarkers: Identifying specific biomarkers that can predict the risk of IVC disorders and guide treatment decisions.
  • Advanced Imaging: Developing more sophisticated imaging techniques to detect early signs of IVC pathologies.

In conclusion, the inferior vena cava, as the biggest vein in body, plays a critical role in the circulatory system. Understanding its anatomy, function, and associated pathologies is essential for maintaining overall cardiovascular health. Regular preventive measures, early diagnosis, and appropriate treatment can significantly improve outcomes for individuals with IVC disorders.

Related Terms:

  • statements about the venae cavae
  • largest vein below the heart
  • person with the most veins
  • biggest vein in human body
  • vena cava or venae cavae
  • where is vena cava located
Facebook Twitter WhatsApp
Related Posts
Don't Miss