Learning

Atypical Cells Meaning

Atypical Cells Meaning
Atypical Cells Meaning

Understanding the significance of atypical cells in medical diagnostics is crucial for early detection and treatment of various diseases. Atypical cells meaning can vary depending on the context, but generally, they refer to cells that exhibit abnormal characteristics compared to normal cells. These abnormalities can indicate the presence of infections, inflammation, or even cancer. This blog post delves into the intricacies of atypical cells, their identification, and their implications in medical diagnostics.

What Are Atypical Cells?

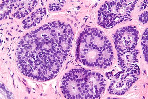
Atypical cells are cells that deviate from the typical structure and function of normal cells. These deviations can manifest in various ways, including changes in size, shape, and nuclear characteristics. The presence of atypical cells can be a sign of underlying health issues that require further investigation. Understanding the atypical cells meaning is essential for healthcare professionals to make accurate diagnoses and develop appropriate treatment plans.

Identifying Atypical Cells

Identifying atypical cells involves a combination of microscopic examination and advanced diagnostic techniques. Here are some common methods used to detect atypical cells:

  • Pap Smear Test: This is a screening test used to detect abnormal cells in the cervix. During a Pap smear, cells are collected from the cervix and examined under a microscope for any signs of atypia.
  • Biopsy: A biopsy involves the removal of a small sample of tissue for examination. This method is often used to diagnose conditions such as cancer, where atypical cells may be present.
  • Cytology: Cytology is the study of cells, and it involves examining cells from various body fluids and tissues to detect abnormalities. This method is commonly used in the diagnosis of conditions affecting the lungs, bladder, and other organs.
  • Immunohistochemistry: This technique uses antibodies to detect specific proteins in cells, helping to identify atypical cells and differentiate them from normal cells.

Atypical Cells Meaning in Different Contexts

The atypical cells meaning can vary depending on the specific context and the type of cells being examined. Here are some examples:

Atypical Squamous Cells

Atypical squamous cells are often detected during a Pap smear test. These cells can indicate the presence of human papillomavirus (HPV) infection, which is a risk factor for cervical cancer. The atypical cells meaning in this context is crucial for early detection and prevention of cervical cancer.

Atypical Glandular Cells

Atypical glandular cells are less common but can be more challenging to diagnose. These cells can indicate the presence of endometrial cancer, cervical cancer, or other types of cancer affecting the glandular tissue. The atypical cells meaning in this context requires further investigation, often through additional testing such as a colposcopy or endometrial biopsy.

Atypical Cells in Urine

Atypical cells in urine can indicate the presence of bladder cancer or other urinary tract infections. The atypical cells meaning in this context is important for early detection and treatment of bladder cancer, which can be highly treatable if caught early.

Atypical Cells in Sputum

Atypical cells in sputum can indicate the presence of lung cancer or other respiratory infections. The atypical cells meaning in this context is crucial for early detection and treatment of lung cancer, which is one of the leading causes of cancer-related deaths worldwide.

Implications of Atypical Cells in Medical Diagnostics

The presence of atypical cells can have significant implications for medical diagnostics and treatment. Here are some key points to consider:

  • Early Detection: Identifying atypical cells early can lead to early detection of diseases such as cancer, allowing for timely intervention and treatment.
  • Disease Progression: The presence of atypical cells can indicate the progression of a disease, helping healthcare professionals monitor the condition and adjust treatment plans accordingly.
  • Treatment Planning: Understanding the atypical cells meaning can help in developing targeted treatment plans, improving the chances of successful outcomes.
  • Follow-Up Care: Regular follow-up tests may be necessary to monitor the presence of atypical cells and ensure that any underlying conditions are managed effectively.

Diagnostic Techniques for Atypical Cells

Several diagnostic techniques are used to identify and analyze atypical cells. These techniques provide valuable information about the nature and extent of the abnormalities. Here are some commonly used methods:

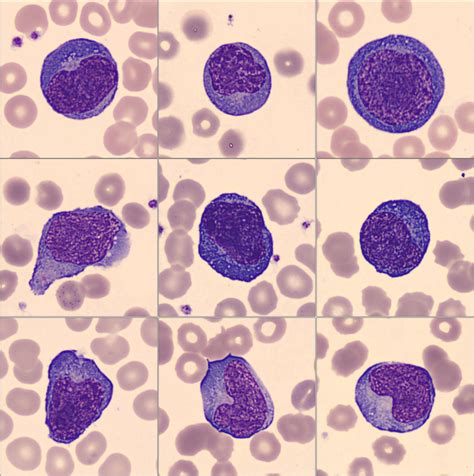
Microscopic Examination

Microscopic examination involves the use of a microscope to examine cells collected from various body fluids and tissues. This method allows healthcare professionals to observe the size, shape, and nuclear characteristics of the cells, helping to identify any atypical features.

Flow Cytometry

Flow cytometry is a technique used to analyze the physical and chemical characteristics of cells. This method involves passing a stream of cells through a laser beam, which detects and measures various properties of the cells, including size, shape, and the presence of specific proteins.

Molecular Testing

Molecular testing involves the analysis of DNA and RNA to detect genetic abnormalities in cells. This method can identify specific mutations or chromosomal abnormalities that may be associated with atypical cells, providing valuable information for diagnosis and treatment.

Imaging Techniques

Imaging techniques such as X-rays, CT scans, and MRI scans can help visualize the location and extent of atypical cells in the body. These techniques provide detailed images of the affected areas, aiding in the diagnosis and treatment planning.

Challenges in Identifying Atypical Cells

Identifying atypical cells can be challenging due to several factors. Here are some common challenges faced by healthcare professionals:

  • Variability in Cell Morphology: Atypical cells can exhibit a wide range of morphological features, making it difficult to distinguish them from normal cells.
  • Limited Sample Size: The availability of a sufficient number of cells for examination can be limited, especially in cases where the sample is small or contaminated.
  • Interobserver Variability: Different healthcare professionals may interpret the same cell sample differently, leading to variability in diagnosis.
  • Technical Limitations: The accuracy of diagnostic techniques can be affected by technical limitations, such as the resolution of the microscope or the sensitivity of the testing equipment.

📝 Note: It is important for healthcare professionals to stay updated with the latest diagnostic techniques and guidelines to ensure accurate identification and interpretation of atypical cells.

Case Studies and Examples

To better understand the atypical cells meaning and their implications, let’s look at some case studies and examples:

Case Study 1: Cervical Cancer Detection

A 35-year-old woman underwent a routine Pap smear test, which revealed the presence of atypical squamous cells. Further investigation through a colposcopy and biopsy confirmed the diagnosis of cervical cancer. Early detection allowed for timely treatment, improving the patient’s chances of recovery.

Case Study 2: Bladder Cancer Detection

A 50-year-old man with a history of smoking presented with blood in his urine. A urine cytology test revealed the presence of atypical cells, leading to a diagnosis of bladder cancer. The patient underwent surgery and chemotherapy, and regular follow-up tests ensured that the cancer did not recur.

Case Study 3: Lung Cancer Detection

A 60-year-old woman with a persistent cough underwent a sputum cytology test, which revealed the presence of atypical cells. Further imaging tests confirmed the diagnosis of lung cancer. The patient underwent surgery and radiation therapy, and regular follow-up tests helped monitor her condition.

Future Directions in Atypical Cells Research

The field of atypical cells research is continually evolving, with new techniques and technologies being developed to improve diagnosis and treatment. Some future directions in this area include:

  • Advanced Imaging Techniques: The development of advanced imaging techniques, such as high-resolution microscopy and 3D imaging, can provide more detailed information about atypical cells.
  • Artificial Intelligence: The use of artificial intelligence (AI) and machine learning algorithms can help in the automated analysis of cell samples, improving the accuracy and efficiency of diagnosis.
  • Personalized Medicine: The integration of genetic and molecular testing can enable personalized treatment plans tailored to the specific characteristics of atypical cells in individual patients.
  • Biomarkers: The identification of specific biomarkers associated with atypical cells can aid in early detection and monitoring of diseases.

In conclusion, understanding the atypical cells meaning is crucial for early detection and treatment of various diseases. The identification of atypical cells involves a combination of microscopic examination, advanced diagnostic techniques, and molecular testing. The presence of atypical cells can have significant implications for medical diagnostics and treatment, highlighting the importance of accurate identification and interpretation. Future research in this area holds promise for improving diagnostic accuracy and developing targeted treatment plans, ultimately enhancing patient outcomes.

Related Terms:

  • atypical cells in breast
  • rare atypical cells meaning
  • rare atypical cells present
  • atypical cells pap smear
  • atypical glandular cells on pap
  • are atypical cells cancerous
Facebook Twitter WhatsApp
Related Posts
Don't Miss