Learning

Atrial Septal Aneurysm

Atrial Septal Aneurysm
Atrial Septal Aneurysm

Atrial Septal Aneurysm (ASA) is a condition where the wall between the two upper chambers of the heart, known as the atria, bulges or protrudes abnormally. This condition can be congenital, meaning it is present at birth, or it can develop later in life due to various factors. Understanding Atrial Septal Aneurysm is crucial for early detection and effective management, as it can lead to serious complications if left untreated.

Understanding Atrial Septal Aneurysm

Atrial Septal Aneurysm occurs when the interatrial septum, the wall dividing the left and right atria, becomes thin and weak, causing it to bulge. This bulging can affect the heart's ability to pump blood efficiently and may lead to other cardiac issues. The condition is often asymptomatic, making it difficult to detect without proper medical evaluation.

Causes and Risk Factors

Several factors contribute to the development of Atrial Septal Aneurysm. These include:

  • Congenital Heart Defects: Some individuals are born with a thin or weak interatrial septum, increasing the risk of developing an aneurysm.
  • Aging: As people age, the heart's structures can weaken, making the septum more susceptible to bulging.
  • High Blood Pressure: Chronic high blood pressure can put extra strain on the heart, leading to structural changes in the septum.
  • Genetic Factors: A family history of heart conditions can increase the likelihood of developing an Atrial Septal Aneurysm.

Symptoms and Diagnosis

Atrial Septal Aneurysm often does not cause any symptoms, especially in its early stages. However, as the condition progresses, individuals may experience:

  • Shortness of breath, especially during physical activity
  • Fatigue and weakness
  • Palpitations or irregular heartbeat
  • Swelling in the legs or abdomen
  • Chest pain

Diagnosing Atrial Septal Aneurysm typically involves a combination of medical history, physical examination, and diagnostic tests. Common diagnostic tools include:

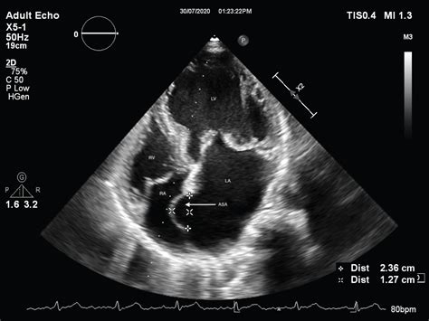
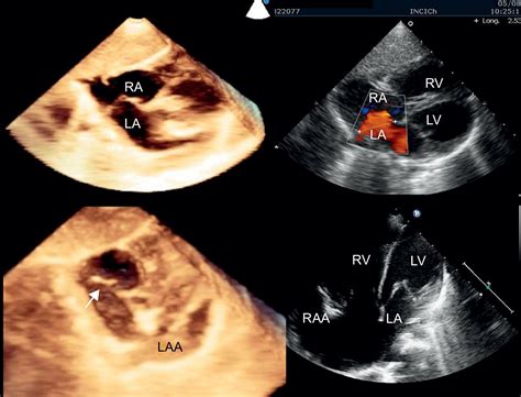
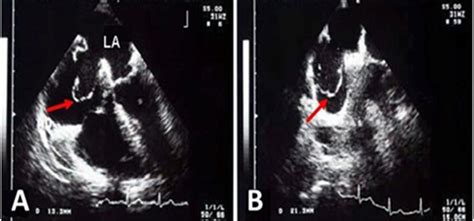
  • Echocardiogram: This ultrasound test provides detailed images of the heart's structure and function, allowing doctors to visualize the aneurysm.
  • Electrocardiogram (ECG): This test records the heart's electrical activity and can detect irregularities that may be associated with an aneurysm.
  • Cardiac MRI: Magnetic resonance imaging offers high-resolution images of the heart, providing a comprehensive view of the aneurysm and its impact on heart function.
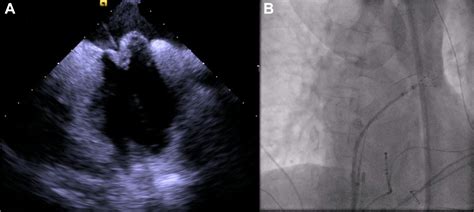
  • Transesophageal Echocardiogram (TEE): This more invasive procedure involves inserting a probe down the throat to get a clearer view of the heart's structures.

Treatment Options

The treatment for Atrial Septal Aneurysm depends on the severity of the condition, the presence of symptoms, and the risk of complications. Treatment options include:

  • Medication: In some cases, medications may be prescribed to manage symptoms and reduce the risk of complications. These may include blood thinners to prevent blood clots and medications to control heart rhythm.
  • Surgical Repair: For more severe cases, surgical intervention may be necessary. This involves repairing the aneurysm to restore the normal structure and function of the heart. Surgical options include:
Surgical Option Description
Open Heart Surgery This traditional method involves making an incision in the chest to access the heart and repair the aneurysm.
Minimally Invasive Surgery This approach uses smaller incisions and specialized tools to repair the aneurysm, reducing recovery time and minimizing scarring.
Catheter-Based Procedures These procedures involve inserting a catheter through a blood vessel to reach the heart and repair the aneurysm using small devices or implants.

Each surgical option has its own set of risks and benefits, and the choice of procedure will depend on the individual's specific condition and overall health.

📝 Note: It is essential to consult with a healthcare provider to determine the most appropriate treatment plan for Atrial Septal Aneurysm.

Complications and Long-Term Management

If left untreated, Atrial Septal Aneurysm can lead to several complications, including:

  • Heart Failure: The weakened septum can impair the heart's ability to pump blood efficiently, leading to heart failure.
  • Stroke: Blood clots can form in the aneurysm and travel to the brain, causing a stroke.
  • Atrial Fibrillation: The abnormal bulging of the septum can disrupt the heart's electrical signals, leading to an irregular heartbeat.
  • Pulmonary Hypertension: Increased pressure in the pulmonary arteries can strain the right side of the heart, leading to pulmonary hypertension.

Long-term management of Atrial Septal Aneurysm involves regular follow-ups with a healthcare provider, adherence to prescribed medications, and lifestyle modifications. These may include:

  • Maintaining a healthy diet and regular exercise
  • Avoiding smoking and excessive alcohol consumption
  • Managing stress and getting adequate rest
  • Regular monitoring of heart function through echocardiograms and other diagnostic tests

Living with Atrial Septal Aneurysm

Living with Atrial Septal Aneurysm requires a proactive approach to managing the condition and maintaining overall health. Individuals with ASA should:

  • Educate themselves about the condition and its potential complications
  • Work closely with their healthcare team to develop a personalized treatment plan
  • Attend regular follow-up appointments and adhere to prescribed medications
  • Make lifestyle changes to support heart health, such as eating a balanced diet and engaging in regular physical activity
  • Seek support from family, friends, and support groups to cope with the emotional and psychological aspects of living with a chronic condition

By taking an active role in their healthcare and making informed decisions, individuals with Atrial Septal Aneurysm can improve their quality of life and reduce the risk of complications.

Atrial Septal Aneurysm is a complex condition that requires careful management and monitoring. Early detection, appropriate treatment, and long-term management are crucial for preventing complications and maintaining heart health. By understanding the causes, symptoms, and treatment options for Atrial Septal Aneurysm, individuals can take proactive steps to manage their condition and live fulfilling lives.

Related Terms:

  • is atrial septal aneurysm serious
  • atrial septal aneurysm in adults
  • prognosis for atrial septal aneurysm
  • atrial septal aneurysm both sides
  • causes of atrial septal aneurysm
  • atrial septal aneurysm stroke
Facebook Twitter WhatsApp
Related Posts
Don't Miss