Learning

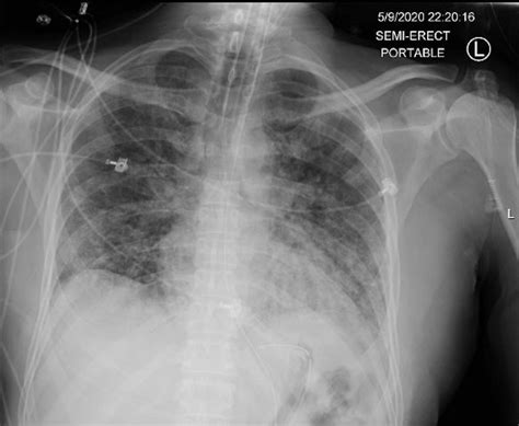
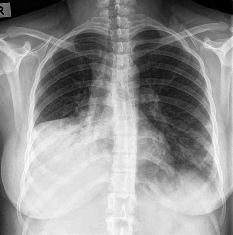
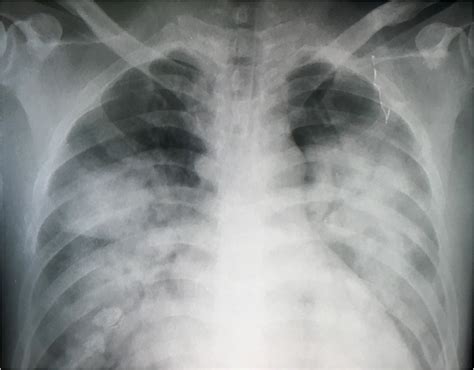
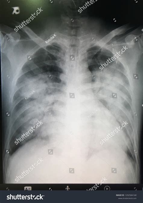
Ards Chest X Ray

Ards Chest X Ray
Ards Chest X Ray

In the realm of medical diagnostics, the Ards Chest X Ray stands as a pivotal tool for assessing and managing Acute Respiratory Distress Syndrome (ARDS). ARDS is a severe condition characterized by rapid onset of widespread inflammation in the lungs, leading to impaired gas exchange and potential respiratory failure. The Ards Chest X Ray plays a crucial role in the early detection and ongoing management of this life-threatening condition.

Understanding ARDS

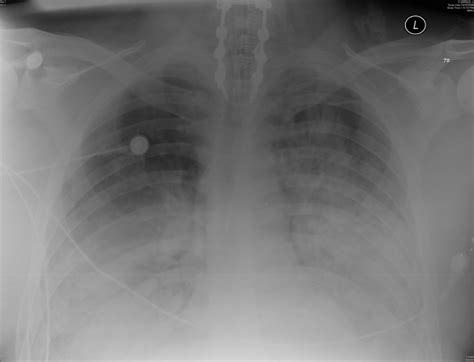
ARDS is a complex syndrome that can be triggered by various factors, including sepsis, pneumonia, trauma, and aspiration. It is marked by the rapid onset of bilateral pulmonary infiltrates, refractory hypoxemia, and decreased lung compliance. The Ards Chest X Ray is instrumental in visualizing these pulmonary infiltrates, which appear as diffuse, bilateral opacities on the radiograph.

The Role of Chest X-Ray in ARDS Diagnosis

The Ards Chest X Ray is often the first imaging modality used to evaluate patients suspected of having ARDS. It provides a quick and relatively inexpensive way to assess the lungs for signs of inflammation and edema. Key findings on an Ards Chest X Ray include:

  • Bilateral pulmonary infiltrates
  • Diffuse opacities
  • Air bronchograms (air-filled bronchi surrounded by consolidated lung tissue)
  • Absence of pleural effusions or cardiomegaly

These findings, when combined with clinical criteria such as the PaO2/FiO2 ratio (the ratio of arterial oxygen partial pressure to fractional inspired oxygen), help confirm the diagnosis of ARDS.

Interpreting Ards Chest X Ray Findings

Interpreting an Ards Chest X Ray requires a keen eye for detail and an understanding of the typical radiographic features of ARDS. Here are some key points to consider:

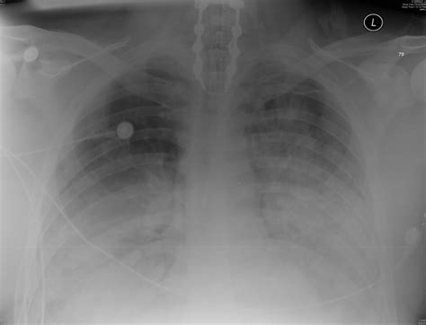
  • Bilateral Infiltrates: ARDS typically presents with bilateral, diffuse infiltrates that are often more pronounced in the dependent lung zones.
  • Air Bronchograms: These are visible air-filled bronchi within consolidated lung tissue and are a hallmark of ARDS.
  • Absence of Pleural Effusions: Unlike other causes of pulmonary edema, ARDS is usually not associated with significant pleural effusions.
  • Cardiomegaly: The heart size is typically normal in ARDS, helping to differentiate it from cardiogenic pulmonary edema.

It is important to note that the Ards Chest X Ray may not always capture the full extent of lung involvement, especially in the early stages of the disease. Therefore, additional imaging modalities such as computed tomography (CT) may be necessary for a more comprehensive evaluation.

Advanced Imaging Techniques

While the Ards Chest X Ray is a valuable initial tool, advanced imaging techniques can provide more detailed information about lung pathology in ARDS. CT scans, for example, offer higher resolution images and can detect subtle changes in lung parenchyma that may not be visible on a chest X-ray. Key findings on a CT scan in ARDS include:

  • Ground-glass opacities
  • Consolidation
  • Interstitial thickening
  • Traction bronchiectasis

These findings can help in staging the severity of ARDS and guiding treatment decisions. However, CT scans are more expensive and may not be readily available in all clinical settings, making the Ards Chest X Ray a more practical first-line imaging modality.

Management and Monitoring of ARDS

Once ARDS is diagnosed, management focuses on supportive care and addressing the underlying cause. The Ards Chest X Ray plays a crucial role in monitoring the progression of the disease and the response to treatment. Regular chest X-rays can help clinicians assess the effectiveness of interventions such as mechanical ventilation, fluid management, and pharmacological therapies.

Key points to consider in the management and monitoring of ARDS include:

  • Mechanical Ventilation: Proper ventilation strategies are essential to prevent further lung injury. The Ards Chest X Ray can help monitor for complications such as barotrauma or pneumothorax.
  • Fluid Management: Optimizing fluid balance is critical in ARDS. Chest X-rays can help assess the resolution of pulmonary edema and the need for diuretic therapy.
  • Pharmacological Therapies: Various medications, including corticosteroids and neuromuscular blockers, may be used to manage ARDS. The Ards Chest X Ray can help evaluate the response to these therapies.

Regular follow-up Ards Chest X Rays are essential for tracking the patient’s progress and adjusting the treatment plan as needed.

Challenges and Limitations

While the Ards Chest X Ray is a valuable tool, it is not without its limitations. Some of the challenges associated with using chest X-rays in ARDS include:

  • Limited Sensitivity: Chest X-rays may not detect early or subtle changes in lung parenchyma, leading to delayed diagnosis.
  • Overlapping Structures: The superimposition of various structures in the chest can make it difficult to interpret the findings accurately.
  • Radiation Exposure: Repeated chest X-rays can expose patients to cumulative radiation, which is a concern, especially in critically ill patients.

Despite these limitations, the Ards Chest X Ray remains a cornerstone of ARDS diagnosis and management due to its accessibility and ease of use.

📌 Note: Always consider the clinical context when interpreting Ards Chest X Ray findings, as radiographic features alone may not be sufficient for a definitive diagnosis.

Future Directions in ARDS Imaging

The field of ARDS imaging is continually evolving, with new technologies and techniques being developed to enhance diagnostic accuracy and patient outcomes. Some of the emerging trends in ARDS imaging include:

  • Lung Ultrasound: Point-of-care lung ultrasound is gaining popularity as a non-invasive and radiation-free alternative to chest X-rays. It can provide real-time information about lung pathology and guide therapeutic interventions.
  • Artificial Intelligence: AI-driven image analysis tools are being developed to assist in the interpretation of Ards Chest X Rays and other imaging modalities. These tools can help identify subtle changes and improve diagnostic accuracy.
  • Advanced CT Techniques: New CT techniques, such as dual-energy CT and quantitative CT, offer more detailed information about lung structure and function, aiding in the management of ARDS.

These advancements hold promise for improving the diagnosis and management of ARDS, ultimately leading to better patient outcomes.

In summary, the Ards Chest X Ray is an indispensable tool in the diagnosis and management of Acute Respiratory Distress Syndrome. Its ability to visualize pulmonary infiltrates and monitor disease progression makes it a valuable asset in the clinical setting. While it has its limitations, the Ards Chest X Ray remains a cornerstone of ARDS care, guiding clinicians in their efforts to provide timely and effective treatment. As imaging technologies continue to advance, the role of the Ards Chest X Ray in ARDS management is likely to evolve, offering new opportunities for improved patient outcomes.

Related Terms:

  • ards chest ct
  • ards x ray vs normal
  • ards diagnostic criteria
  • picture of ards
  • ards chest x ray finding
  • ards x ray findings
Facebook Twitter WhatsApp
Related Posts
Don't Miss