Learning

Appendicitis On Ultrasound

Appendicitis On Ultrasound
Appendicitis On Ultrasound

Appendicitis is a medical emergency that requires prompt diagnosis and treatment. One of the key diagnostic tools used to identify appendicitis is ultrasound. Appendicitis on ultrasound can provide crucial information that helps healthcare professionals make accurate diagnoses and decide on the best course of treatment. This blog post will delve into the details of how ultrasound is used to diagnose appendicitis, the signs to look for, and the importance of this diagnostic tool in modern medicine.

Understanding Appendicitis

Appendicitis is the inflammation of the appendix, a small, tube-like organ attached to the large intestine. When the appendix becomes inflamed, it can cause severe abdominal pain, nausea, vomiting, and fever. If left untreated, appendicitis can lead to a ruptured appendix, which is a life-threatening condition.

The Role of Ultrasound in Diagnosing Appendicitis

Ultrasound is a non-invasive imaging technique that uses high-frequency sound waves to create images of the body’s internal structures. It is often the first-line diagnostic tool for suspected appendicitis due to its accessibility, cost-effectiveness, and lack of radiation exposure. Ultrasound can help identify the inflamed appendix and rule out other potential causes of abdominal pain.

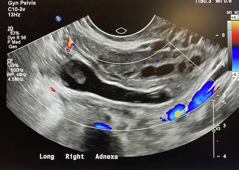
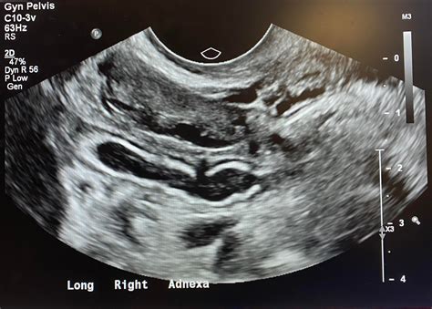
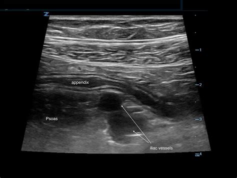
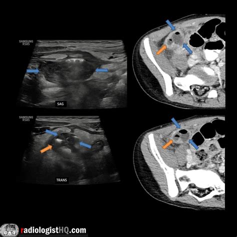
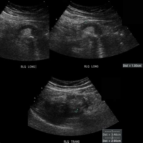
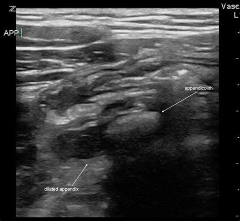
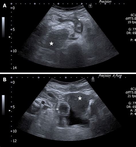
How Appendicitis Appears on Ultrasound

When performing an ultrasound to diagnose appendicitis, radiologists look for several key signs:

  • Appendiceal Diameter: A normal appendix is typically less than 6 mm in diameter. An inflamed appendix will often be larger than 6 mm.
  • Appendiceal Wall Thickness: The wall of the inflamed appendix may appear thicker than normal.
  • Appendicoliths: These are small, calcified stones that can be seen within the appendix on ultrasound. Their presence can indicate a higher risk of appendicitis.
  • Hyperemia: Increased blood flow to the appendix, which can be detected using Doppler ultrasound, is another sign of inflammation.
  • Periappendiceal Fluid: The presence of fluid around the appendix can indicate inflammation or infection.

Ultrasound Technique for Diagnosing Appendicitis

Performing an ultrasound to diagnose appendicitis involves several steps:

  • Patient Preparation: The patient is usually asked to lie on their back or side. A gel is applied to the abdomen to improve the transmission of sound waves.
  • Probe Placement: The ultrasound probe is placed on the right lower quadrant of the abdomen, where the appendix is located.
  • Image Acquisition: The radiologist moves the probe to capture images of the appendix from different angles. Doppler ultrasound may be used to assess blood flow.
  • Interpretation: The images are reviewed to look for the signs of appendicitis mentioned earlier.

📝 Note: The accuracy of ultrasound in diagnosing appendicitis can be influenced by the patient's body habitus, the presence of bowel gas, and the skill of the radiologist. In some cases, additional imaging studies such as CT scans may be necessary.

Advantages of Ultrasound for Appendicitis Diagnosis

Ultrasound offers several advantages as a diagnostic tool for appendicitis:

  • Non-Invasive: Ultrasound does not require any incisions or injections, making it a safe and comfortable option for patients.
  • No Radiation Exposure: Unlike CT scans, ultrasound does not expose patients to ionizing radiation, making it a safer choice, especially for children and pregnant women.
  • Cost-Effective: Ultrasound is generally less expensive than other imaging modalities, making it a cost-effective option for initial diagnosis.
  • Real-Time Imaging: Ultrasound provides real-time images, allowing radiologists to assess the appendix dynamically and make immediate diagnoses.

Limitations of Ultrasound for Appendicitis Diagnosis

While ultrasound is a valuable tool, it does have some limitations:

  • Operator Dependency: The quality of the ultrasound images and the accuracy of the diagnosis can depend on the skill and experience of the radiologist performing the exam.
  • Body Habitus: In patients who are obese or have a lot of abdominal fat, ultrasound images may be less clear, making it more difficult to visualize the appendix.
  • Bowel Gas: The presence of gas in the bowel can interfere with ultrasound waves, making it harder to get a clear image of the appendix.

Alternative Diagnostic Methods

In cases where ultrasound is inconclusive or not feasible, other diagnostic methods may be used:

  • CT Scan: Computed tomography (CT) scans provide detailed images of the abdomen and are often used when ultrasound results are unclear. CT scans can detect appendicitis with high accuracy but involve radiation exposure.
  • MRI: Magnetic resonance imaging (MRI) is another option, especially for pregnant women or children, as it does not involve radiation. However, MRI is more expensive and time-consuming than ultrasound or CT scans.

Treatment of Appendicitis

Once appendicitis is diagnosed, prompt treatment is essential to prevent complications. The standard treatment for appendicitis is surgical removal of the appendix, a procedure known as an appendectomy. In some cases, antibiotics may be used to treat the infection before surgery, especially if the patient is not a good candidate for immediate surgery.

Preventive Measures and When to Seek Medical Attention

While appendicitis cannot always be prevented, recognizing the symptoms and seeking prompt medical attention can significantly improve outcomes. If you experience severe abdominal pain, especially in the lower right quadrant, along with nausea, vomiting, and fever, seek medical attention immediately. Early diagnosis and treatment can prevent serious complications.

Appendicitis is a serious condition that requires prompt diagnosis and treatment. Ultrasound plays a crucial role in diagnosing appendicitis by providing detailed images of the appendix and surrounding structures. Understanding the signs of appendicitis on ultrasound, the advantages and limitations of this diagnostic tool, and the importance of prompt treatment can help ensure better outcomes for patients. By recognizing the symptoms and seeking medical attention early, individuals can reduce the risk of complications and improve their chances of a full recovery.

Related Terms:

  • appendicitis ultrasound radiopaedia
  • ruptured appendix ultrasound
  • features of appendicitis on ultrasound
  • appendicitis ultrasound images
  • appendicitis on ct
  • normal appendix size
Facebook Twitter WhatsApp
Related Posts
Don't Miss