Learning

Appendicitis During Pregnancy

Appendicitis During Pregnancy
Appendicitis During Pregnancy

Pregnancy is a time of joy and anticipation, but it can also bring unexpected health challenges. One such challenge is appendicitis during pregnancy. This condition, while rare, requires immediate medical attention and can be particularly concerning for expectant mothers. Understanding the symptoms, diagnosis, and treatment options for appendicitis during pregnancy is crucial for ensuring the health and safety of both the mother and the baby.

Understanding Appendicitis

Appendicitis is an inflammation of the appendix, a small, tube-like organ attached to the large intestine. When the appendix becomes inflamed, it can cause severe abdominal pain and other symptoms. In non-pregnant individuals, appendicitis is a common surgical emergency. However, during pregnancy, the diagnosis and treatment of appendicitis can be more complex due to the physiological changes that occur in the body.

Symptoms of Appendicitis During Pregnancy

Recognizing the symptoms of appendicitis during pregnancy is essential for prompt medical intervention. The symptoms can vary depending on the stage of pregnancy, but common signs include:

  • Abdominal pain: This is often the first and most prominent symptom. The pain typically starts around the belly button and moves to the lower right side of the abdomen.
  • Nausea and vomiting: These symptoms can be similar to morning sickness, making it challenging to differentiate between the two.
  • Fever: A low-grade fever may accompany the abdominal pain.
  • Loss of appetite: Pregnant women may experience a decreased appetite, which can be a sign of appendicitis.
  • Changes in bowel movements: Constipation or diarrhea can occur.

It is important to note that the location of the pain may shift as the pregnancy progresses. In the first trimester, the pain is usually in the lower right abdomen. However, as the uterus enlarges, the pain may be felt higher up in the abdomen.

Diagnosing Appendicitis During Pregnancy

Diagnosing appendicitis during pregnancy can be challenging due to the overlapping symptoms with normal pregnancy discomforts. However, healthcare providers use a combination of methods to make an accurate diagnosis:

  • Physical examination: The doctor will perform a physical exam to assess the location and severity of the pain.
  • Blood tests: Elevated white blood cell counts can indicate an infection.
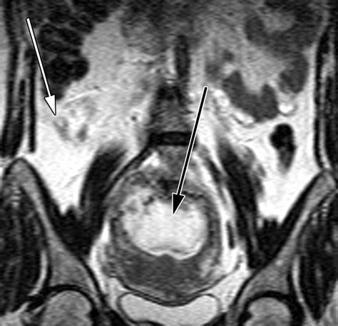
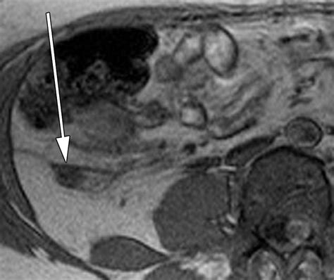
  • Ultrasound: This imaging test is safe during pregnancy and can help visualize the appendix.
  • CT scan: In some cases, a CT scan may be recommended, but it is generally avoided due to radiation exposure. Magnetic resonance imaging (MRI) is a safer alternative.

Early diagnosis is crucial to prevent complications such as appendiceal rupture, which can lead to sepsis and other serious health issues.

Treatment Options for Appendicitis During Pregnancy

Once appendicitis is diagnosed, prompt treatment is essential. The primary treatment for appendicitis during pregnancy is surgical removal of the appendix, known as an appendectomy. This procedure can be performed laparoscopically or through an open incision, depending on the stage of pregnancy and the severity of the condition.

Laparoscopic appendectomy is often preferred due to its minimally invasive nature, which can reduce recovery time and complications. However, in some cases, an open appendectomy may be necessary, especially if the appendix has ruptured.

In addition to surgery, antibiotics may be prescribed to treat any infection and prevent complications. Post-operative care involves monitoring the mother and the baby closely to ensure a smooth recovery.

Risks and Complications

Appendicitis during pregnancy can pose risks to both the mother and the baby. Some of the potential complications include:

  • Premature labor: The inflammation and infection can trigger premature contractions.
  • Miscarriage: In early pregnancy, there is a risk of miscarriage if the appendix ruptures.
  • Sepsis: A ruptured appendix can lead to a severe infection that spreads throughout the body.
  • Fetal distress: The infection and inflammation can affect the baby's well-being.

Prompt diagnosis and treatment can significantly reduce these risks and ensure a better outcome for both the mother and the baby.

Preventive Measures

While appendicitis cannot always be prevented, there are some general measures that can help maintain overall health during pregnancy:

  • Regular prenatal check-ups: Regular visits to the healthcare provider can help monitor the health of both the mother and the baby.
  • Balanced diet: Eating a nutritious diet can support the immune system and overall health.
  • Hydration: Staying hydrated is essential for maintaining good health during pregnancy.
  • Avoiding high-risk activities: Pregnant women should avoid activities that increase the risk of injury or infection.

If you experience any symptoms that could indicate appendicitis, it is crucial to seek medical attention immediately.

📌 Note: Always consult with a healthcare provider for personalized advice and treatment options.

Appendicitis during pregnancy is a serious condition that requires immediate medical attention. Recognizing the symptoms, seeking prompt diagnosis, and undergoing appropriate treatment can significantly improve the outcome for both the mother and the baby. Regular prenatal care and maintaining overall health can also help prevent complications and ensure a healthy pregnancy.

Related Terms:

  • appendix removed while pregnant
  • appendicitis during pregnancy treatment
  • appendicitis symptoms when pregnant
  • appendix location during pregnancy
  • appendectomy during pregnancy
  • appendicitis symptoms mayo clinic
Facebook Twitter WhatsApp
Related Posts
Don't Miss