Learning

Acute Fracture Meaning

Acute Fracture Meaning
Acute Fracture Meaning

Understanding the acute fracture meaning is crucial for anyone dealing with bone injuries. An acute fracture refers to a sudden break in a bone, typically resulting from a traumatic event such as a fall, a car accident, or a sports injury. Unlike chronic fractures, which develop over time due to conditions like osteoporosis, acute fractures occur abruptly and often require immediate medical attention.

Understanding Acute Fractures

Acute fractures can vary widely in severity and type. They can range from simple, clean breaks to complex, compound fractures where the bone pierces the skin. The acute fracture meaning encompasses several key aspects:

  • Sudden Onset: Acute fractures happen suddenly, often due to a high-impact event.
  • Pain and Swelling: Immediate pain and swelling are common symptoms.
  • Deformity: The affected area may appear deformed or misaligned.
  • Loss of Function: The injured limb or joint may lose its ability to function normally.

Types of Acute Fractures

Acute fractures can be classified into several types based on their characteristics:

  • Closed Fractures: The bone breaks but does not pierce the skin.
  • Open Fractures: The bone breaks and pierces the skin, increasing the risk of infection.
  • Comminuted Fractures: The bone shatters into multiple pieces.
  • Greenstick Fractures: Common in children, where the bone bends and partially breaks.
  • Transverse Fractures: The break is horizontal to the bone's long axis.
  • Oblique Fractures: The break is diagonal to the bone's long axis.
  • Spiral Fractures: The break spirals around the bone, often due to twisting forces.

Diagnosing Acute Fractures

Diagnosing an acute fracture involves several steps to determine the extent and type of injury. The process typically includes:

  • Medical History: The healthcare provider will ask about the circumstances of the injury.
  • Physical Examination: The affected area will be examined for pain, swelling, deformity, and loss of function.
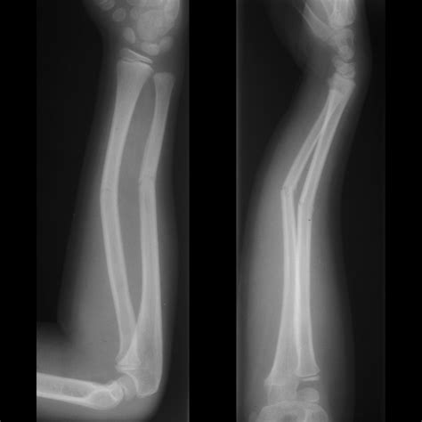
  • Imaging Tests: X-rays are the primary tool for diagnosing fractures. In some cases, CT scans or MRIs may be used for more detailed images.

Imaging tests are crucial for understanding the acute fracture meaning and planning the appropriate treatment. X-rays provide clear images of the bone structure, helping to identify the type and severity of the fracture.

Treatment Options for Acute Fractures

The treatment for acute fractures depends on the type and severity of the injury. Common treatment options include:

  • Immobilization: Using casts, splints, or braces to keep the bone in place while it heals.
  • Medication: Pain relievers and anti-inflammatory drugs to manage discomfort and swelling.
  • Surgery: In severe cases, surgery may be required to realign the bone and stabilize it with plates, screws, or rods.
  • Physical Therapy: Exercises to restore strength, flexibility, and range of motion after the fracture has healed.

For open fractures, immediate medical attention is crucial to prevent infection. The wound will be cleaned, and antibiotics may be prescribed. In some cases, surgery may be necessary to repair the bone and soft tissues.

Recovery and Rehabilitation

Recovery from an acute fracture can take several weeks to months, depending on the severity of the injury and the individual's overall health. The rehabilitation process typically involves:

  • Rest and Immobilization: Allowing the bone to heal without movement.
  • Pain Management: Using medication and other techniques to manage discomfort.
  • Physical Therapy: Gradually increasing activity and strength through exercises.
  • Follow-Up Care: Regular check-ups to monitor healing progress.

Physical therapy plays a vital role in the recovery process. A physical therapist will design a program tailored to the individual's needs, focusing on restoring function and preventing future injuries. The program may include:

  • Range-of-motion exercises to improve flexibility.
  • Strengthening exercises to build muscle around the injured area.
  • Balance and coordination exercises to improve stability.

It is important to follow the rehabilitation plan closely to ensure a full recovery. Skipping exercises or rushing the healing process can lead to complications and prolonged recovery times.

📝 Note: Always consult with a healthcare provider before starting any exercise program, especially after an injury.

Preventing Acute Fractures

While not all acute fractures can be prevented, there are several steps individuals can take to reduce their risk:

  • Maintain Bone Health: Ensure adequate calcium and vitamin D intake through diet and supplements.
  • Regular Exercise: Engage in weight-bearing exercises to strengthen bones and muscles.
  • Fall Prevention: Use safety measures such as handrails, non-slip mats, and proper footwear to prevent falls.
  • Wear Protective Gear: Use helmets, pads, and other protective equipment during sports and recreational activities.

For individuals at higher risk of fractures, such as those with osteoporosis or a history of falls, additional precautions may be necessary. Regular bone density tests and consultations with healthcare providers can help manage and reduce the risk of acute fractures.

Special Considerations for Children and Elderly

Children and the elderly are particularly vulnerable to acute fractures due to their developing or aging bones. Special considerations for these groups include:

  • Children: Greenstick fractures are common in children due to their softer bones. Proper immobilization and follow-up care are essential to ensure proper healing and growth.
  • Elderly: Osteoporosis and falls are significant risk factors for acute fractures in the elderly. Regular bone density tests, fall prevention strategies, and adequate nutrition are crucial for maintaining bone health.

For the elderly, prompt medical attention is vital in case of a fall or suspected fracture. Delayed treatment can lead to complications and prolonged recovery times. Healthcare providers may recommend additional support, such as assistive devices or home modifications, to prevent future falls and injuries.

Understanding the acute fracture meaning and the specific needs of different age groups can help in providing appropriate care and support. Early intervention and proper management are key to ensuring a successful recovery and preventing long-term complications.

Acute fractures are a common and often serious injury that requires immediate medical attention. Understanding the acute fracture meaning, types, diagnosis, treatment, and prevention strategies can help individuals manage these injuries effectively. Whether it’s a simple break or a complex fracture, prompt and appropriate care is essential for a full recovery. By taking preventive measures and following a comprehensive rehabilitation plan, individuals can minimize the impact of acute fractures and maintain their overall health and well-being.

Related Terms:

  • acute bone fracture treatment
  • acute fracture vs nonacute
  • sub acute fracture meaning
  • what is an acute fracture
  • non acute fracture meaning
  • acute bone fracture
Facebook Twitter WhatsApp
Related Posts
Don't Miss