Learning

Acrodermatitis Chronica Atrophicans

Acrodermatitis Chronica Atrophicans
Acrodermatitis Chronica Atrophicans

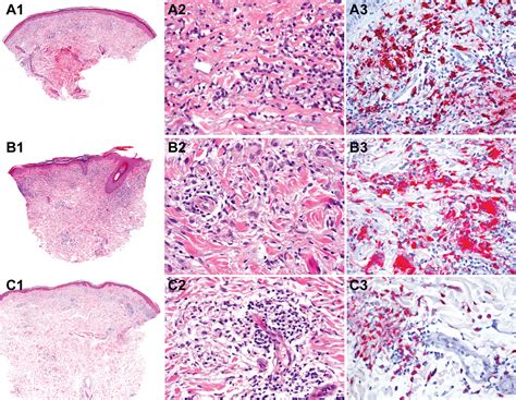
Acrodermatitis Chronica Atrophicans (ACA) is a rare skin condition that primarily affects the extremities, particularly the hands and feet. This condition is characterized by chronic inflammation, atrophy, and pigmentation changes in the skin. Understanding ACA, its causes, symptoms, diagnosis, and treatment options is crucial for managing this condition effectively.

Understanding Acrodermatitis Chronica Atrophicans

Acrodermatitis Chronica Atrophicans is a chronic skin disorder that typically manifests in middle-aged individuals. It is often associated with long-term exposure to certain irritants or allergens, although the exact cause remains unclear. The condition is more prevalent in individuals with a history of atopic dermatitis or other allergic conditions.

ACA is characterized by several key features:

  • Chronic inflammation of the skin
  • Atrophy, or thinning, of the skin
  • Pigmentation changes, including hyperpigmentation and hypopigmentation
  • Scaling and crusting of the skin
  • Pruritus, or intense itching

Causes of Acrodermatitis Chronica Atrophicans

The exact cause of Acrodermatitis Chronica Atrophicans is not fully understood, but several factors are believed to contribute to its development:

  • Genetic predisposition: Individuals with a family history of atopic conditions may be more susceptible to ACA.
  • Environmental factors: Long-term exposure to irritants, allergens, or chemicals can trigger the condition.
  • Immune system dysfunction: An overactive immune response to certain triggers can lead to chronic inflammation and skin changes.
  • Underlying health conditions: Conditions such as diabetes, thyroid disorders, or autoimmune diseases may increase the risk of developing ACA.

Symptoms of Acrodermatitis Chronica Atrophicans

The symptoms of Acrodermatitis Chronica Atrophicans can vary from person to person, but common signs include:

  • Skin inflammation: Redness, swelling, and warmth in the affected areas.
  • Atrophy: Thinning of the skin, which can make it more fragile and prone to injury.
  • Pigmentation changes: Darkening or lightening of the skin in the affected areas.
  • Scaling and crusting: Dry, flaky skin that may form crusts.
  • Pruritus: Intense itching that can be difficult to relieve.
  • Pain and discomfort: The affected areas may be tender to the touch.

These symptoms can significantly impact the quality of life, making it essential to seek medical attention for proper diagnosis and treatment.

Diagnosis of Acrodermatitis Chronica Atrophicans

Diagnosing Acrodermatitis Chronica Atrophicans involves a thorough medical history, physical examination, and various diagnostic tests. The diagnostic process typically includes:

  • Medical history: The healthcare provider will ask about symptoms, their duration, and any known triggers or allergens.
  • Physical examination: A detailed examination of the skin to assess the extent and severity of the condition.
  • Skin biopsy: A small sample of the affected skin may be taken for microscopic examination to confirm the diagnosis.
  • Allergy testing: To identify any potential allergens or irritants that may be contributing to the condition.
  • Blood tests: To rule out underlying health conditions that may be associated with ACA.

Early and accurate diagnosis is crucial for effective management and treatment of Acrodermatitis Chronica Atrophicans.

Treatment Options for Acrodermatitis Chronica Atrophicans

Treatment for Acrodermatitis Chronica Atrophicans focuses on managing symptoms, reducing inflammation, and preventing further skin damage. The treatment plan may include:

  • Topical medications: Creams and ointments containing corticosteroids, calcineurin inhibitors, or other anti-inflammatory agents to reduce inflammation and itching.
  • Oral medications: Systemic corticosteroids, immunosuppressants, or other medications to control severe symptoms.
  • Phototherapy: Light therapy using ultraviolet (UV) light to reduce inflammation and promote healing.
  • Lifestyle modifications: Avoiding known triggers or irritants, maintaining good skin hygiene, and using moisturizers to keep the skin hydrated.
  • Allergen immunotherapy: For individuals with identified allergens, immunotherapy may help reduce the immune response and alleviate symptoms.

It is important to work closely with a healthcare provider to develop a personalized treatment plan that addresses individual needs and concerns.

Living with Acrodermatitis Chronica Atrophicans

Living with Acrodermatitis Chronica Atrophicans can be challenging, but with proper management and support, individuals can improve their quality of life. Here are some tips for managing the condition:

  • Educate yourself: Learn about ACA, its triggers, and effective management strategies.
  • Follow your treatment plan: Adhere to the prescribed medications and therapies to control symptoms.
  • Avoid triggers: Identify and avoid known irritants or allergens that exacerbate symptoms.
  • Maintain skin care: Use gentle cleansers, moisturizers, and other skincare products to keep the skin healthy.
  • Seek support: Connect with support groups or online communities to share experiences and gain insights from others with ACA.

By taking an active role in managing the condition, individuals can better cope with the challenges of Acrodermatitis Chronica Atrophicans and improve their overall well-being.

📝 Note: Always consult with a healthcare provider before making any changes to your treatment plan or lifestyle.

Preventing Acrodermatitis Chronica Atrophicans

While there is no guaranteed way to prevent Acrodermatitis Chronica Atrophicans, certain measures can help reduce the risk of developing the condition:

  • Avoid irritants and allergens: Minimize exposure to known triggers that can cause skin irritation.
  • Maintain good skin hygiene: Keep the skin clean and moisturized to prevent dryness and irritation.
  • Manage underlying conditions: Effectively manage any underlying health conditions that may increase the risk of ACA.
  • Regular check-ups: Schedule regular check-ups with a healthcare provider to monitor skin health and address any concerns early.

By taking proactive steps, individuals can reduce the likelihood of developing Acrodermatitis Chronica Atrophicans and maintain healthy skin.

Research and Future Directions

Research on Acrodermatitis Chronica Atrophicans is ongoing, with scientists and healthcare providers working to better understand the condition and develop more effective treatments. Some areas of focus include:

  • Genetic studies: Investigating the genetic factors that may contribute to the development of ACA.
  • Immune response: Studying the immune system's role in the condition and potential targets for immunotherapy.
  • New treatments: Exploring novel therapies, such as biologic agents and targeted medications, to improve symptom management.
  • Patient outcomes: Assessing the long-term effects of ACA on patients and developing strategies to enhance quality of life.

Advances in research hold promise for better understanding and managing Acrodermatitis Chronica Atrophicans, ultimately improving outcomes for those affected by the condition.

Acrodermatitis Chronica Atrophicans is a complex and challenging condition that requires careful management and support. By understanding the causes, symptoms, and treatment options, individuals can take proactive steps to manage their condition effectively. Ongoing research and advancements in treatment hold promise for improving the lives of those affected by ACA, offering hope for better outcomes in the future.

Related Terms:

  • what is acrodermatitis chronica atrophicans
  • acrodermatitis chronica atrophicans pictures
  • acrodermatitis chronica atrophicans lyme
  • acrodermatitis chronica atrophicans symptoms
  • acrodermatitis chronica atrophicans definition
  • acrodermatitis chronica atrophicans treatment
Facebook Twitter WhatsApp
Related Posts
Don't Miss