Learning

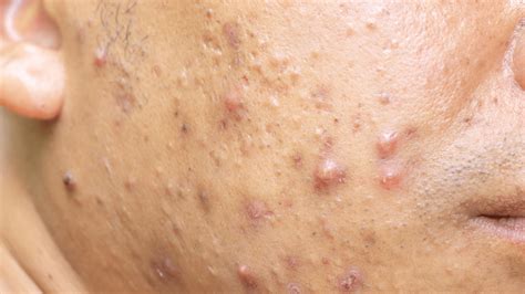
Acne Cysts Under Skin

Acne Cysts Under Skin
Acne Cysts Under Skin

Acne cysts under the skin can be a frustrating and painful condition to deal with. Unlike typical pimples, acne cysts are larger, more inflamed, and can cause significant discomfort. Understanding the causes, symptoms, and treatment options for acne cysts is crucial for effective management and prevention.

Understanding Acne Cysts

Acne cysts are a severe form of acne that develops deep within the skin. They are characterized by large, red, and painful lumps that can appear on the face, chest, back, and shoulders. Unlike regular pimples, acne cysts do not have a visible head and are filled with pus. These cysts form when the pores become clogged with oil, dead skin cells, and bacteria, leading to a deep infection.

Causes of Acne Cysts

Several factors contribute to the development of acne cysts under the skin. Understanding these causes can help in preventing and managing the condition:

  • Hormonal Changes: Fluctuations in hormone levels, particularly during puberty, menstruation, and pregnancy, can increase oil production and lead to clogged pores.
  • Genetics: A family history of acne increases the likelihood of developing acne cysts.
  • Diet: Certain foods, particularly those high in sugar and dairy, can exacerbate acne.
  • Stress: High stress levels can trigger hormonal imbalances, leading to increased oil production and acne breakouts.
  • Medications: Some medications, such as corticosteroids and lithium, can cause or worsen acne.

Symptoms of Acne Cysts

Recognizing the symptoms of acne cysts is essential for early intervention. Common symptoms include:

  • Large, red, and painful lumps under the skin
  • Absence of a visible head or white tip
  • Deep, inflamed lesions that may be tender to the touch
  • Possible scarring if the cysts rupture or are not treated properly

Treatment Options for Acne Cysts

Treating acne cysts under the skin requires a multi-faceted approach. Over-the-counter treatments may not be sufficient, and professional medical intervention is often necessary. Here are some common treatment options:

Topical Treatments

Topical treatments are applied directly to the skin and can help reduce inflammation and prevent further breakouts. Common topical treatments include:

  • Benzoyl Peroxide: This helps kill bacteria and unclog pores.
  • Salicylic Acid: This exfoliates the skin and helps prevent clogged pores.
  • Retinoids: These vitamin A derivatives help unclog pores and reduce inflammation.

Oral Medications

For severe cases of acne cysts, oral medications may be prescribed. These medications work from within the body to reduce inflammation and prevent breakouts. Common oral medications include:

  • Antibiotics: These help reduce bacteria and inflammation.
  • Isotretinoin: This powerful medication is often used as a last resort for severe acne. It reduces oil production and helps prevent future breakouts.
  • Birth Control Pills: These can help regulate hormones and reduce acne in women.

Professional Procedures

In some cases, professional procedures may be necessary to treat acne cysts effectively. These procedures are typically performed by a dermatologist and can include:

  • Corticosteroid Injections: These injections help reduce inflammation and speed up the healing process.
  • Drainage and Extraction: This procedure involves draining the cyst and removing the contents to prevent further infection.
  • Laser Therapy: This can help reduce inflammation and promote healing.

Preventing Acne Cysts

Preventing acne cysts involves a combination of good skincare habits and lifestyle changes. Here are some tips to help prevent acne cysts under the skin:

  • Cleanse Regularly: Wash your face twice a day with a gentle cleanser to remove dirt, oil, and bacteria.
  • Avoid Touching Your Face: Keep your hands away from your face to prevent transferring bacteria.
  • Use Non-Comedogenic Products: Choose skincare and makeup products that are labeled non-comedogenic to avoid clogging pores.
  • Maintain a Healthy Diet: Eat a balanced diet rich in fruits, vegetables, and lean proteins to support overall skin health.
  • Manage Stress: Practice stress-reduction techniques such as meditation, yoga, or exercise to keep stress levels in check.

When to See a Dermatologist

If you are experiencing severe acne cysts under the skin, it is important to seek professional help. A dermatologist can provide a thorough evaluation and develop a personalized treatment plan. Here are some signs that you should see a dermatologist:

  • Acne cysts that are painful and inflamed
  • Acne that does not respond to over-the-counter treatments
  • Acne that is causing scarring or discoloration
  • Acne that is affecting your self-esteem or quality of life

πŸ“ Note: Early intervention by a dermatologist can help prevent scarring and improve the overall appearance of your skin.

Home Remedies for Acne Cysts

While professional treatment is often necessary for severe acne cysts, some home remedies can help alleviate symptoms and promote healing. Here are a few home remedies to consider:

  • Warm Compress: Applying a warm compress to the affected area can help reduce inflammation and promote drainage.
  • Tea Tree Oil: This natural antiseptic can help kill bacteria and reduce inflammation. Dilute tea tree oil with a carrier oil before applying it to the skin.
  • Aloe Vera: The soothing properties of aloe vera can help reduce redness and inflammation.
  • Apple Cider Vinegar: This natural astringent can help balance the skin's pH and reduce bacteria. Dilute apple cider vinegar with water before applying it to the skin.

πŸ“ Note: Always perform a patch test before using any new home remedy to ensure you do not have an allergic reaction.

Lifestyle Changes for Managing Acne Cysts

In addition to medical treatments and home remedies, lifestyle changes can play a significant role in managing acne cysts. Here are some lifestyle changes to consider:

  • Regular Exercise: Exercise can help reduce stress and improve overall skin health.
  • Adequate Sleep: Getting enough sleep is essential for skin repair and regeneration.
  • Hydration: Drinking plenty of water can help flush out toxins and keep the skin hydrated.
  • Avoid Smoking: Smoking can exacerbate acne and delay healing.

Common Myths About Acne Cysts

There are many myths and misconceptions surrounding acne cysts. Understanding the facts can help you make informed decisions about your skincare. Here are some common myths debunked:

  • Myth: Acne Cysts are Caused by Poor Hygiene: While good hygiene is important, acne cysts are primarily caused by hormonal imbalances, genetics, and other factors.
  • Myth: Popping Acne Cysts Will Make Them Go Away: Popping acne cysts can lead to scarring and further infection. It is best to leave them alone and seek professional treatment.
  • Myth: Acne Cysts Only Affect Teenagers: Acne cysts can affect people of all ages, including adults.

πŸ“ Note: Always consult a healthcare professional for advice tailored to your specific situation.

Living with Acne Cysts

Living with acne cysts can be challenging, but there are strategies to help you cope and maintain your self-esteem. Here are some tips for living with acne cysts:

  • Seek Support: Talk to friends, family, or a support group about your feelings and experiences.
  • Practice Self-Care: Engage in activities that promote relaxation and self-care, such as meditation, yoga, or journaling.
  • Use Makeup Wisely: Choose non-comedogenic makeup products that won't clog your pores. Always remove makeup before bed.
  • Stay Positive: Remember that acne cysts are a common condition and that many people experience them. Focus on your strengths and positive qualities.

πŸ“ Note: It is important to be patient with yourself and seek professional help if needed.

Acne Cysts and Scarring

Acne cysts can leave behind scars if not treated properly. Understanding the types of scars and how to prevent them is crucial for maintaining healthy skin. Here are some common types of acne scars:

  • Ice Pick Scars: These are deep, narrow scars that resemble small pits.
  • Boxcar Scars: These are round or oval depressions with sharp edges.
  • Rolling Scars: These are wide, shallow depressions with sloping edges.
  • Hypertrophic Scars: These are raised scars that occur when the body produces too much collagen during healing.

To prevent scarring, it is important to:

  • Avoid picking or squeezing acne cysts
  • Seek professional treatment for severe acne cysts
  • Use sunscreen to protect the skin from further damage
  • Follow a consistent skincare routine

πŸ“ Note: Early intervention and proper treatment can help minimize the risk of scarring.

Acne Cysts and Diet

Diet plays a significant role in the development and management of acne cysts. Certain foods can exacerbate acne, while others can promote skin health. Here is a table outlining foods to avoid and foods to include in your diet:

Foods to Avoid Foods to Include
High-glycemic foods (sugary snacks, white bread) Low-glycemic foods (whole grains, fruits, vegetables)
Dairy products (milk, cheese, ice cream) Non-dairy alternatives (almond milk, soy milk, coconut milk)
Processed foods (fast food, packaged snacks) Whole foods (lean proteins, healthy fats, complex carbohydrates)
Foods high in omega-6 fatty acids (red meat, processed oils) Foods high in omega-3 fatty acids (fatty fish, flaxseeds, walnuts)

Incorporating a balanced diet rich in nutrients can help improve skin health and reduce the occurrence of acne cysts.

πŸ“ Note: Always consult a healthcare professional or a registered dietitian for personalized dietary advice.

Acne cysts under the skin can be a challenging condition to manage, but with the right knowledge and treatment, it is possible to achieve clearer, healthier skin. Understanding the causes, symptoms, and treatment options for acne cysts is the first step in effective management. By following a consistent skincare routine, seeking professional help when needed, and making lifestyle changes, you can reduce the occurrence of acne cysts and improve your overall skin health. Remember that patience and persistence are key, and with the right approach, you can achieve the skin you desire.

Related Terms:

  • acne cysts whiteheads blackheads videos
  • acne cysts on chin
  • acne cysts treatment
  • adult cystic acne in women
  • main causes of cystic acne
  • is cystic acne dangerous
Facebook Twitter WhatsApp
Related Posts
Don't Miss