Learning

Accessory Pancreatic Duct

Accessory Pancreatic Duct
Accessory Pancreatic Duct

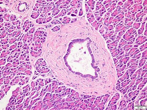
The pancreas is a vital organ in the human body, playing a crucial role in both digestion and blood sugar regulation. One of its key components is the Accessory Pancreatic Duct, also known as the duct of Santorini. This duct is an essential part of the pancreatic ductal system, which facilitates the drainage of pancreatic juices into the duodenum. Understanding the Accessory Pancreatic Duct and its functions is important for comprehending the overall health and potential issues related to the pancreas.

The Anatomy of the Pancreas

The pancreas is located in the abdomen, behind the stomach, and is composed of both exocrine and endocrine tissues. The exocrine portion produces enzymes that aid in digestion, while the endocrine portion produces hormones like insulin and glucagon, which regulate blood sugar levels. The pancreatic ductal system is responsible for transporting these enzymes and hormones to their respective destinations.

The Role of the Accessory Pancreatic Duct

The Accessory Pancreatic Duct is a smaller duct that runs parallel to the main pancreatic duct, known as the duct of Wirsung. It drains a portion of the pancreatic enzymes into the duodenum through the minor duodenal papilla. This duct is particularly important in cases where the main pancreatic duct is obstructed or damaged, as it provides an alternative pathway for pancreatic secretions.

Functional Significance

The Accessory Pancreatic Duct plays a critical role in maintaining pancreatic function. Its primary functions include:

  • Drainage of Pancreatic Juices: It helps in the drainage of pancreatic enzymes into the duodenum, aiding in the digestion of food.
  • Backup Pathway: In cases of obstruction or damage to the main pancreatic duct, the Accessory Pancreatic Duct can serve as a backup pathway, ensuring that pancreatic juices continue to flow into the duodenum.
  • Prevention of Pancreatic Inflammation: By providing an alternative route for pancreatic secretions, it helps prevent the buildup of enzymes within the pancreas, which can lead to inflammation and damage.

Clinical Implications

Understanding the Accessory Pancreatic Duct is crucial for diagnosing and treating various pancreatic disorders. Conditions such as pancreatitis, pancreatic cancer, and pancreatic cysts can affect the function of this duct. For instance, in chronic pancreatitis, the main pancreatic duct may become narrowed or blocked, making the Accessory Pancreatic Duct an essential pathway for pancreatic drainage.

Diagnostic Techniques

Several diagnostic techniques are used to evaluate the Accessory Pancreatic Duct and its function. These include:

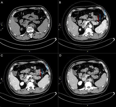
  • Endoscopic Retrograde Cholangiopancreatography (ERCP): This procedure involves the insertion of an endoscope into the duodenum to visualize the pancreatic ducts. It allows for the injection of contrast dye to highlight the ducts and identify any obstructions or abnormalities.
  • Magnetic Resonance Cholangiopancreatography (MRCP): This non-invasive imaging technique uses magnetic resonance imaging (MRI) to create detailed images of the pancreatic ducts. It is particularly useful for evaluating the Accessory Pancreatic Duct and detecting any blockages or strictures.
  • Endoscopic Ultrasound (EUS): This procedure combines endoscopy and ultrasound to provide high-resolution images of the pancreas and its ducts. It is useful for detecting small lesions or cysts that may affect the Accessory Pancreatic Duct.

Treatment Options

Treatment for conditions affecting the Accessory Pancreatic Duct depends on the underlying cause and severity of the symptoms. Common treatment options include:

  • Medical Management: For mild cases of pancreatitis, medical management may involve the use of pain medications, enzyme supplements, and lifestyle modifications to reduce inflammation and improve pancreatic function.
  • Endoscopic Interventions: In cases of ductal obstruction, endoscopic interventions such as stent placement or sphincterotomy may be performed to relieve the blockage and restore normal drainage through the Accessory Pancreatic Duct.
  • Surgical Procedures: For severe cases or when endoscopic interventions are not effective, surgical procedures such as pancreaticoduodenectomy (Whipple procedure) or distal pancreatectomy may be necessary to remove the affected portion of the pancreas and restore normal function.

Common Conditions Affecting the Accessory Pancreatic Duct

Several conditions can affect the Accessory Pancreatic Duct, leading to various symptoms and complications. Some of the most common conditions include:

  • Pancreatitis: Inflammation of the pancreas can cause swelling and obstruction of the pancreatic ducts, including the Accessory Pancreatic Duct. This can lead to severe abdominal pain, nausea, and vomiting.
  • Pancreatic Cancer: Tumors in the pancreas can obstruct the pancreatic ducts, leading to jaundice, weight loss, and abdominal pain. The Accessory Pancreatic Duct may be affected, depending on the location and size of the tumor.
  • Pancreatic Cysts: Cysts in the pancreas can compress the pancreatic ducts, including the Accessory Pancreatic Duct, leading to symptoms such as abdominal pain and pancreatitis.

Preventive Measures

While some conditions affecting the Accessory Pancreatic Duct may be unavoidable, there are several preventive measures that can help maintain pancreatic health:

  • Healthy Diet: Consuming a balanced diet rich in fruits, vegetables, and whole grains can help reduce the risk of pancreatic disorders.
  • Regular Exercise: Engaging in regular physical activity can help maintain a healthy weight and reduce the risk of conditions such as diabetes and pancreatitis.
  • Avoiding Alcohol and Smoking: Excessive alcohol consumption and smoking are major risk factors for pancreatic disorders. Avoiding these habits can significantly reduce the risk of developing conditions that affect the Accessory Pancreatic Duct.

Research and Future Directions

Ongoing research is focused on improving our understanding of the Accessory Pancreatic Duct and its role in pancreatic health. Advances in imaging techniques, endoscopic interventions, and surgical procedures are continually enhancing our ability to diagnose and treat conditions affecting this duct. Future research may also explore the potential of regenerative medicine and stem cell therapy in repairing damaged pancreatic tissue and restoring normal function.

📝 Note: The information provided in this blog post is for educational purposes only and should not be used as a substitute for professional medical advice. Always consult a healthcare provider for any health-related concerns.

In summary, the Accessory Pancreatic Duct is a vital component of the pancreatic ductal system, playing a crucial role in the drainage of pancreatic juices and maintaining pancreatic health. Understanding its anatomy, function, and clinical implications is essential for diagnosing and treating various pancreatic disorders. By adopting preventive measures and staying informed about the latest research, individuals can take proactive steps to maintain their pancreatic health and reduce the risk of conditions affecting the Accessory Pancreatic Duct.

Related Terms:

  • accessory pancreatic duct location
  • pancreatic duct anatomy
  • accessory pancreas duct diagram
  • duct of wirsung and santorini
  • accessory pancreatic tissue
  • ventral pancreatic duct
Facebook Twitter WhatsApp
Related Posts
Don't Miss