Learning

Abscess On Kidney

Abscess On Kidney
Abscess On Kidney

An abscess on kidney, also known as a renal abscess, is a serious medical condition that requires immediate attention. This condition occurs when a pocket of pus forms within the kidney tissue, typically as a result of a bacterial infection. Understanding the causes, symptoms, diagnosis, and treatment options for an abscess on kidney is crucial for early intervention and effective management.

Understanding Abscess on Kidney

An abscess on kidney is a localized collection of pus that develops within the kidney. This condition can be life-threatening if not treated promptly. The infection can spread to other parts of the body, leading to sepsis, a severe and potentially fatal condition.

Causes of Abscess on Kidney

Several factors can contribute to the development of an abscess on kidney. The most common causes include:

  • Urinary Tract Infections (UTIs): Untreated or recurrent UTIs can spread to the kidneys, leading to an abscess.
  • Bacterial Infections: Bacteria such as Escherichia coli, Proteus, and Klebsiella are often responsible for kidney abscesses.
  • Trauma or Injury: Physical trauma to the kidney can introduce bacteria and lead to an abscess.
  • Underlying Medical Conditions: Conditions like diabetes, which weakens the immune system, can increase the risk of developing a kidney abscess.

Symptoms of Abscess on Kidney

The symptoms of an abscess on kidney can vary depending on the severity of the infection. Common symptoms include:

  • High fever and chills
  • Flank pain (pain in the side or back)
  • Nausea and vomiting
  • Frequent urination or difficulty urinating
  • Cloudy or foul-smelling urine
  • General malaise and fatigue

In some cases, the symptoms may be mild, making it difficult to diagnose the condition early. If you experience any of these symptoms, it is essential to seek medical attention promptly.

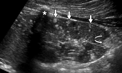
Diagnosis of Abscess on Kidney

Diagnosing an abscess on kidney involves a combination of medical history, physical examination, and diagnostic tests. The diagnostic process typically includes:

  • Blood Tests: Blood tests can help identify the presence of infection and determine the type of bacteria causing the abscess.
  • Urinalysis: A urine test can detect the presence of bacteria and white blood cells, indicating an infection.
  • Imaging Studies: Imaging tests such as ultrasound, CT scan, or MRI can provide detailed images of the kidney and help locate the abscess.

Imaging studies are particularly important as they can confirm the presence of an abscess and guide the treatment plan.

Treatment Options for Abscess on Kidney

The treatment of an abscess on kidney typically involves a combination of antibiotics and drainage procedures. The goal is to eliminate the infection and prevent complications.

Antibiotic Therapy

Antibiotics are the first line of treatment for an abscess on kidney. The choice of antibiotic depends on the type of bacteria causing the infection. Commonly prescribed antibiotics include:

  • Cefazolin
  • Ceftriaxone
  • Ciprofloxacin
  • Gentamicin

Antibiotic therapy is usually administered intravenously (IV) initially and may be switched to oral antibiotics once the infection starts to resolve.

Drainage Procedures

In addition to antibiotics, drainage of the abscess is often necessary to remove the pus and reduce the bacterial load. Drainage procedures can be performed using various methods:

  • Percutaneous Drainage: This minimally invasive procedure involves inserting a needle or catheter into the abscess to drain the pus. It is often guided by imaging techniques such as ultrasound or CT scan.
  • Surgical Drainage: In some cases, surgical intervention may be required to drain the abscess. This involves making an incision in the skin and directly accessing the abscess to remove the pus.

Drainage procedures are crucial for ensuring complete resolution of the abscess and preventing recurrence.

Complications of Abscess on Kidney

If left untreated, an abscess on kidney can lead to serious complications. Some of the potential complications include:

  • Sepsis: The infection can spread to the bloodstream, leading to sepsis, a life-threatening condition.
  • Kidney Damage: Prolonged infection can cause permanent damage to the kidney tissue.
  • Renal Failure: In severe cases, the infection can lead to kidney failure, requiring dialysis or a kidney transplant.

Early diagnosis and prompt treatment are essential to prevent these complications and ensure a successful recovery.

Prevention of Abscess on Kidney

Preventing an abscess on kidney involves taking steps to avoid urinary tract infections and maintaining overall health. Some preventive measures include:

  • Practicing good hygiene, especially during sexual activity.
  • Drinking plenty of water to flush out bacteria from the urinary tract.
  • Emptying the bladder frequently and completely.
  • Avoiding the use of irritating feminine hygiene sprays or douches.
  • Managing underlying medical conditions such as diabetes.

Regular medical check-ups and prompt treatment of any urinary tract infections can also help prevent the development of a kidney abscess.

📌 Note: If you have a history of recurrent urinary tract infections or underlying medical conditions, it is important to discuss preventive measures with your healthcare provider.

Living with an Abscess on Kidney

Living with an abscess on kidney can be challenging, but with proper treatment and follow-up care, most people can make a full recovery. It is essential to follow the treatment plan prescribed by your healthcare provider and attend all follow-up appointments. Regular monitoring and prompt treatment of any recurring infections can help prevent future complications.

In some cases, lifestyle changes may be necessary to support overall health and prevent recurrence. This may include:

  • Maintaining a healthy diet to support immune function.
  • Engaging in regular physical activity to improve overall health.
  • Avoiding activities that increase the risk of urinary tract infections.

Support from family and friends can also play a crucial role in the recovery process. Emotional support and encouragement can help individuals cope with the challenges of living with an abscess on kidney.

In some cases, individuals may need to make adjustments to their daily routines to accommodate the treatment and recovery process. This may include taking time off work, modifying physical activities, and adhering to a strict medication schedule. It is important to communicate openly with healthcare providers about any challenges or concerns that arise during the recovery process.

Regular follow-up appointments with healthcare providers are essential to monitor progress and ensure that the infection has been completely resolved. During these appointments, healthcare providers may perform additional tests, such as blood tests and imaging studies, to assess the condition of the kidney and detect any signs of recurrence.

In some cases, individuals may need to undergo additional treatments or procedures to address any underlying conditions that contributed to the development of the abscess. This may include managing diabetes, treating other infections, or addressing structural abnormalities in the urinary tract.

It is important to remember that recovery from an abscess on kidney is a gradual process that requires patience and dedication. With proper treatment and follow-up care, most individuals can make a full recovery and return to their normal activities. However, it is essential to remain vigilant and seek medical attention promptly if any symptoms of recurrence or complications arise.

In addition to medical treatment, individuals can take steps to support their overall health and well-being during the recovery process. This may include engaging in stress-reducing activities, such as meditation or yoga, and maintaining a positive outlook. Support from family and friends can also play a crucial role in the recovery process, providing emotional support and encouragement.

In some cases, individuals may need to make adjustments to their daily routines to accommodate the treatment and recovery process. This may include taking time off work, modifying physical activities, and adhering to a strict medication schedule. It is important to communicate openly with healthcare providers about any challenges or concerns that arise during the recovery process.

Regular follow-up appointments with healthcare providers are essential to monitor progress and ensure that the infection has been completely resolved. During these appointments, healthcare providers may perform additional tests, such as blood tests and imaging studies, to assess the condition of the kidney and detect any signs of recurrence.

In some cases, individuals may need to undergo additional treatments or procedures to address any underlying conditions that contributed to the development of the abscess. This may include managing diabetes, treating other infections, or addressing structural abnormalities in the urinary tract.

It is important to remember that recovery from an abscess on kidney is a gradual process that requires patience and dedication. With proper treatment and follow-up care, most individuals can make a full recovery and return to their normal activities. However, it is essential to remain vigilant and seek medical attention promptly if any symptoms of recurrence or complications arise.

In addition to medical treatment, individuals can take steps to support their overall health and well-being during the recovery process. This may include engaging in stress-reducing activities, such as meditation or yoga, and maintaining a positive outlook. Support from family and friends can also play a crucial role in the recovery process, providing emotional support and encouragement.

In some cases, individuals may need to make adjustments to their daily routines to accommodate the treatment and recovery process. This may include taking time off work, modifying physical activities, and adhering to a strict medication schedule. It is important to communicate openly with healthcare providers about any challenges or concerns that arise during the recovery process.

Regular follow-up appointments with healthcare providers are essential to monitor progress and ensure that the infection has been completely resolved. During these appointments, healthcare providers may perform additional tests, such as blood tests and imaging studies, to assess the condition of the kidney and detect any signs of recurrence.

In some cases, individuals may need to undergo additional treatments or procedures to address any underlying conditions that contributed to the development of the abscess. This may include managing diabetes, treating other infections, or addressing structural abnormalities in the urinary tract.

It is important to remember that recovery from an abscess on kidney is a gradual process that requires patience and dedication. With proper treatment and follow-up care, most individuals can make a full recovery and return to their normal activities. However, it is essential to remain vigilant and seek medical attention promptly if any symptoms of recurrence or complications arise.

In addition to medical treatment, individuals can take steps to support their overall health and well-being during the recovery process. This may include engaging in stress-reducing activities, such as meditation or yoga, and maintaining a positive outlook. Support from family and friends can also play a crucial role in the recovery process, providing emotional support and encouragement.

In some cases, individuals may need to make adjustments to their daily routines to accommodate the treatment and recovery process. This may include taking time off work, modifying physical activities, and adhering to a strict medication schedule. It is important to communicate openly with healthcare providers about any challenges or concerns that arise during the recovery process.

Regular follow-up appointments with healthcare providers are essential to monitor progress and ensure that the infection has been completely resolved. During these appointments, healthcare providers may perform additional tests, such as blood tests and imaging studies, to assess the condition of the kidney and detect any signs of recurrence.

In some cases, individuals may need to undergo additional treatments or procedures to address any underlying conditions that contributed to the development of the abscess. This may include managing diabetes, treating other infections, or addressing structural abnormalities in the urinary tract.

It is important to remember that recovery from an abscess on kidney is a gradual process that requires patience and dedication. With proper treatment and follow-up care, most individuals can make a full recovery and return to their normal activities. However, it is essential to remain vigilant and seek medical attention promptly if any symptoms of recurrence or complications arise.

In addition to medical treatment, individuals can take steps to support their overall health and well-being during the recovery process. This may include engaging in stress-reducing activities, such as meditation or yoga, and maintaining a positive outlook. Support from family and friends can also play a crucial role in the recovery process, providing emotional support and encouragement.

In some cases, individuals may need to make adjustments to their daily routines to accommodate the treatment and recovery process. This may include taking time off work, modifying physical activities, and adhering to a strict medication schedule. It is important to communicate openly with healthcare providers about any challenges or concerns that arise during the recovery process.

Regular follow-up appointments with healthcare providers are essential to monitor progress and ensure that the infection has been completely resolved. During these appointments, healthcare providers may perform additional tests, such as blood tests and imaging studies, to assess the condition of the kidney and detect any signs of recurrence.

In some cases, individuals may need to undergo additional treatments or procedures to address any underlying conditions that contributed to the development of the abscess. This may include managing diabetes, treating other infections, or addressing structural abnormalities in the urinary tract.

It is important to remember that recovery from an abscess on kidney is a gradual process that requires patience and dedication. With proper treatment and follow-up care, most individuals can make a full recovery and return to their normal activities. However, it is essential to remain vigilant and seek medical attention promptly if any symptoms of recurrence or complications arise.

In addition to medical treatment, individuals can take steps to support their overall health and well-being during the recovery process. This may include engaging in stress-reducing activities, such as meditation or yoga, and maintaining a positive outlook. Support from family and friends can also play a crucial role in the recovery process, providing emotional support and encouragement.

In some cases, individuals may need to make adjustments to their daily routines to accommodate the treatment and recovery process. This may include taking time off work, modifying physical activities, and adhering to a strict medication schedule. It is important to communicate openly with healthcare providers about any challenges or concerns that arise during the recovery process.

Regular follow-up appointments with healthcare providers are essential to monitor progress and ensure that the infection has been completely resolved. During these appointments, healthcare providers may perform additional tests, such as blood tests and imaging studies, to assess the condition of the kidney and detect any signs of recurrence.

In some cases, individuals may need to undergo additional treatments or procedures to address any underlying conditions that contributed to the development of the abscess. This may include managing diabetes, treating other infections, or addressing structural abnormalities in the urinary tract.

It is important to remember that recovery from an abscess on kidney is a gradual process that requires patience and dedication. With proper treatment and follow-up care, most individuals can make a full recovery and return to their normal activities. However, it is essential to remain vigilant and seek medical attention promptly if any symptoms of recurrence or complications arise.

In addition to medical treatment, individuals can take steps to support their overall health and well-being during the recovery process. This may include engaging in stress-reducing activities, such as meditation or yoga, and maintaining a positive outlook. Support from family and friends can also play a crucial role in the recovery process, providing emotional support and encouragement.

In some cases, individuals may need to make adjustments to their daily routines to accommodate the treatment and recovery process. This may include taking time off work, modifying physical activities, and adhering to a strict medication schedule. It is important to communicate openly with healthcare providers about any challenges or concerns that arise during the recovery process.

Regular follow-up appointments with healthcare providers are essential to monitor progress and ensure that the infection has been completely resolved. During these appointments, healthcare providers may perform additional tests, such as blood tests and imaging studies, to assess the condition of the kidney and detect any signs of recurrence.

In some cases, individuals may need to undergo additional treatments or procedures to address any underlying conditions that contributed to the development of the abscess. This may include managing diabetes, treating other infections, or addressing structural abnormalities in the urinary tract.

It is important to remember that recovery from an abscess on kidney is a gradual process that requires patience and dedication. With proper treatment and follow-up care, most individuals can make a full recovery and return to their normal activities. However, it is essential to remain vigilant and seek medical attention promptly if any symptoms of recurrence or complications arise.

In addition to medical treatment, individuals can take steps to support their overall health and well-being during the recovery process. This may include engaging in stress-reducing activities, such as meditation or yoga, and maintaining a positive outlook. Support from family and friends can also play a crucial role in the recovery process, providing emotional support and encouragement.

In some cases, individuals may need to make adjustments to their daily routines to accommodate the treatment and recovery process. This may include taking time off work, modifying physical activities, and adhering to a strict medication schedule. It is important to communicate openly with healthcare providers about any challenges or concerns that arise during the recovery process.

Regular follow-up appointments with healthcare providers are essential to monitor progress and ensure that the infection has been completely resolved. During these appointments, healthcare providers may perform additional tests, such as blood tests and imaging studies, to assess the condition of the kidney and detect any signs of recurrence.

In some cases, individuals may need to undergo additional treatments or procedures to address any underlying conditions that contributed to the development of the abscess. This may include managing diabetes, treating other infections, or addressing structural abnormalities in the urinary tract.

It is important to remember that recovery from an abscess on kidney is a gradual process that requires patience and dedication. With proper treatment and follow-up care, most individuals can make a full recovery and return to their normal activities. However, it is essential to remain vigilant and seek medical attention promptly if any symptoms of recurrence or complications arise.

In addition to medical treatment, individuals can take steps to support their overall health and well-being during the recovery process. This may include engaging in stress-reducing activities, such as meditation or yoga, and maintaining a positive outlook. Support from family and friends can also play a crucial role in the recovery process, providing emotional support and encouragement.

In some cases, individuals may need to make adjustments to their daily routines to accommodate the treatment and recovery process. This may include taking time off work, modifying physical activities, and adhering to a strict medication schedule. It is important to communicate openly with healthcare providers about any challenges or concerns that arise during the recovery process.

Regular follow-up appointments with healthcare providers are essential to monitor progress and ensure that the infection has been completely resolved. During these appointments, healthcare providers may perform additional tests, such as blood tests and imaging studies, to assess the condition of the kidney and detect any signs of recurrence.

In some cases, individuals may need to undergo additional treatments or procedures to address any underlying conditions that contributed to the development of the abscess. This may include managing diabetes, treating other infections, or addressing structural abnormalities in the urinary tract.

It is important to remember that recovery from an abscess on kidney is a gradual process that requires patience and dedication. With proper treatment and follow-up care, most individuals can make a full recovery and return to their normal activities. However, it is essential to remain vigilant and seek medical attention promptly if any symptoms of recurrence

Related Terms:

  • can kidney abscess be cured
  • kidney abscess drainage
  • renal abscess ultrasound images
  • what causes abscess on kidney
  • when to drain renal abscess
  • kidney abscess recovery time
Facebook Twitter WhatsApp
Related Posts
Don't Miss