Learning

Abcde Chest X Ray

Abcde Chest X Ray
Abcde Chest X Ray

In the realm of medical diagnostics, the Abcde Chest X Ray stands as a cornerstone for evaluating various respiratory and cardiovascular conditions. This imaging technique provides invaluable insights into the internal structures of the chest, aiding healthcare professionals in diagnosing and treating a wide array of diseases. This post delves into the significance, procedure, interpretation, and advancements related to the Abcde Chest X Ray, offering a comprehensive guide for both medical professionals and curious readers.

Understanding the Abcde Chest X Ray

The Abcde Chest X Ray is a radiograph of the chest that includes the heart, lungs, and other internal structures. It is a non-invasive procedure that uses a small amount of radiation to produce images of the chest cavity. These images help in diagnosing conditions such as pneumonia, lung cancer, heart failure, and other respiratory or cardiovascular issues.

The Importance of Abcde Chest X Ray

The Abcde Chest X Ray is crucial for several reasons:

  • Early Detection: It aids in the early detection of diseases, allowing for timely intervention and treatment.
  • Diagnostic Tool: It serves as a primary diagnostic tool for various respiratory and cardiovascular conditions.
  • Monitoring Progress: It helps monitor the progress of treatments and the effectiveness of interventions.
  • Preventive Care: It plays a role in preventive care by identifying potential health issues before symptoms manifest.

Preparing for an Abcde Chest X Ray

Preparation for an Abcde Chest X Ray is generally straightforward. Patients are usually advised to:

  • Remove Metal Objects: Remove any jewelry, clothing with metal fasteners, or other metallic objects that could interfere with the imaging.
  • Wear Comfortable Clothing: Wear loose, comfortable clothing that can be easily removed if necessary.
  • Inform the Technician: Inform the radiology technician about any recent surgeries, implants, or allergies.

In some cases, patients may be asked to change into a hospital gown to ensure that no metallic objects are present during the procedure.

The Procedure of Abcde Chest X Ray

The Abcde Chest X Ray procedure is quick and painless. Here are the steps involved:

  1. Positioning: The patient stands or sits in front of the X-ray machine. The technician may ask the patient to take a deep breath and hold it briefly to ensure the lungs are fully inflated.
  2. Imaging: The technician positions the X-ray machine to capture images from different angles, typically front and side views.
  3. Exposure: The machine emits a small amount of radiation to produce the images. The entire process usually takes only a few minutes.

After the images are captured, the patient can resume normal activities immediately.

πŸ“ Note: Pregnant women should inform the technician before the procedure, as radiation exposure can be harmful to the fetus. In such cases, alternative imaging methods may be considered.

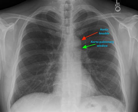
Interpreting Abcde Chest X Ray Results

Interpreting Abcde Chest X Ray results requires expertise in radiology. The images are reviewed by a radiologist who looks for various indicators of health or disease. Some common findings include:

  • Lung Opacities: Areas of increased density in the lungs, which could indicate pneumonia, tumors, or other conditions.
  • Cardiomegaly: Enlargement of the heart, which may suggest heart failure or other cardiovascular issues.
  • Pleural Effusion: Accumulation of fluid in the pleural space, which can be a sign of infection, heart failure, or other conditions.
  • Fractures: Bone fractures in the ribs or other chest structures.

Radiologists use a systematic approach to interpret the images, often following the ABCDE mnemonic:

Airways Bones Cardiac Silhouette Diaphragm Everything Else
Examine the trachea and bronchi for any abnormalities. Check for fractures or other bone issues. Assess the size and shape of the heart. Evaluate the position and contour of the diaphragm. Look for any other abnormalities, such as lung nodules or pleural effusions.

This method ensures a thorough and systematic review of the chest X-ray images.

Advancements in Abcde Chest X Ray Technology

The field of radiology is continually evolving, and advancements in Abcde Chest X Ray technology have significantly improved diagnostic accuracy and patient comfort. Some notable advancements include:

  • Digital Radiography: This technology uses digital detectors to capture images, providing higher resolution and faster processing times compared to traditional film-based methods.
  • Computed Radiography: This method uses imaging plates that capture X-ray images, which are then digitized and processed. It offers improved image quality and flexibility.
  • Portable X-Ray Machines: These devices allow for X-ray imaging to be performed at the patient's bedside, which is particularly useful for critically ill patients who cannot be moved.
  • Artificial Intelligence: AI algorithms are being developed to assist radiologists in interpreting chest X-ray images, enhancing accuracy and efficiency.

These advancements have made the Abcde Chest X Ray a more reliable and efficient diagnostic tool, benefiting both patients and healthcare providers.

Common Conditions Diagnosed with Abcde Chest X Ray

The Abcde Chest X Ray is used to diagnose a wide range of conditions. Some of the most common include:

  • Pneumonia: Inflammation of the lungs, often caused by bacterial or viral infections.
  • Lung Cancer: Malignant tumors in the lungs, which can be detected through characteristic patterns on the X-ray.
  • Heart Failure: A condition where the heart cannot pump enough blood to meet the body's needs, often indicated by an enlarged heart on the X-ray.
  • Pleural Effusion: Accumulation of fluid in the pleural space, which can be caused by various conditions, including infection and heart failure.
  • Tuberculosis: A bacterial infection that primarily affects the lungs, characterized by specific patterns on the X-ray.

Each of these conditions presents unique features on the Abcde Chest X Ray, allowing radiologists to make accurate diagnoses.

Limitations of Abcde Chest X Ray

While the Abcde Chest X Ray is a valuable diagnostic tool, it does have limitations. Some of these include:

  • Radiation Exposure: Although the amount of radiation is minimal, repeated exposures can be harmful.
  • Limited Detail: Chest X-rays provide a two-dimensional view and may not capture all details, especially in complex cases.
  • Interpretation Variability: The accuracy of the interpretation depends on the expertise of the radiologist.
  • Overlapping Structures: The overlapping of internal structures can make it difficult to identify specific abnormalities.

In cases where more detailed imaging is required, additional tests such as CT scans or MRIs may be recommended.

πŸ“ Note: Patients should discuss any concerns about radiation exposure or the limitations of the Abcde Chest X Ray with their healthcare provider.

Future Directions in Abcde Chest X Ray

The future of Abcde Chest X Ray technology holds promise for even greater advancements. Researchers and developers are exploring several areas to enhance the diagnostic capabilities and patient experience:

  • Enhanced Image Quality: Continued improvements in digital imaging technology aim to provide even clearer and more detailed images.
  • AI Integration: Further integration of artificial intelligence can assist in more accurate and faster interpretation of X-ray images.
  • Portable and Wearable Devices: Development of more portable and wearable X-ray devices can make imaging more accessible and convenient.
  • 3D Imaging: Advances in 3D imaging technology may provide a more comprehensive view of the chest cavity, enhancing diagnostic accuracy.

These future directions are poised to revolutionize the field of radiology, making the Abcde Chest X Ray an even more powerful tool for diagnosing and treating various conditions.

In conclusion, the Abcde Chest X Ray is an indispensable tool in modern medicine, offering valuable insights into the health of the chest cavity. From its importance in early detection and diagnosis to the advancements in technology and future directions, this imaging technique continues to evolve, benefiting patients and healthcare providers alike. Understanding the procedure, interpretation, and limitations of the Abcde Chest X Ray is crucial for anyone involved in medical diagnostics, ensuring accurate and timely treatment of various respiratory and cardiovascular conditions.

Related Terms:

  • chest x ray penetration
  • abc interpretation of x rays
  • chest x ray evaluation
  • abcde of reading chest xray
  • abcdes of chest xray
  • chest x rays geeky medics
Facebook Twitter WhatsApp
Related Posts
Don't Miss