Learning

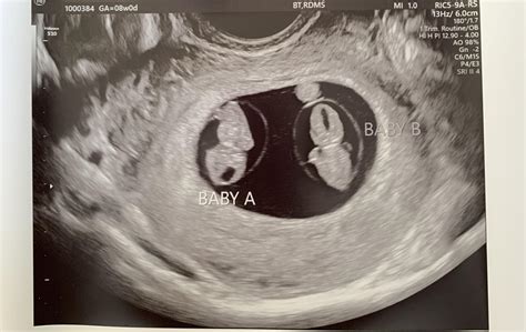
8 Week Sonogram

8 Week Sonogram
8 Week Sonogram

Pregnancy is an exciting journey filled with milestones, and one of the most anticipated moments is the 8 week sonogram. This ultrasound scan provides crucial insights into the development of the fetus and the overall health of the pregnancy. Understanding what to expect during an 8 week sonogram can help alleviate anxiety and prepare expectant parents for this important check-up.

What is an 8 Week Sonogram?

An 8 week sonogram is an ultrasound examination performed around the eighth week of pregnancy. This non-invasive procedure uses high-frequency sound waves to create images of the fetus and the uterus. The primary goal of an 8 week sonogram is to confirm the pregnancy, determine the gestational age, and assess the fetus’s development.

Why is an 8 Week Sonogram Important?

The 8 week sonogram is a critical milestone in prenatal care for several reasons:

  • Confirming the Pregnancy: The ultrasound can confirm the presence of a gestational sac and a yolk sac, which are early indicators of a viable pregnancy.
  • Determining Gestational Age: Measuring the crown-rump length (CRL) of the fetus helps determine the exact gestational age, which is essential for monitoring the pregnancy’s progress.
  • Assessing Fetal Development: The ultrasound can check for the presence of a heartbeat, which is typically detectable around this time. It also evaluates the development of other structures, such as the neural tube.
  • Identifying Potential Issues: Early detection of any abnormalities or complications, such as ectopic pregnancy or miscarriage, allows for timely intervention.

What to Expect During an 8 Week Sonogram

During an 8 week sonogram, expectant parents can anticipate the following steps:

  • Preparation: The procedure is usually performed transabdominally, meaning the ultrasound probe is moved over the abdomen. In some cases, a transvaginal ultrasound may be used for a clearer view, especially if the uterus is tilted or the pregnancy is very early.
  • Procedure: The expectant mother will lie on an examination table with her abdomen exposed. A gel is applied to the abdomen to enhance the transmission of sound waves. The ultrasound technician will then move the probe over the abdomen to capture images of the uterus and fetus.
  • Duration: The entire process typically takes about 20-30 minutes. The technician will take measurements and capture images, which will be reviewed by the obstetrician.

What Can Be Seen on an 8 Week Sonogram?

At 8 weeks, the fetus is still very small, but several key structures can be visualized:

  • Gestational Sac: A fluid-filled structure that contains the developing embryo.
  • Yolk Sac: A small, round structure that produces blood cells and helps in the early development of the embryo.
  • Embryo: The developing fetus, which is about the size of a raspberry at this stage.
  • Heartbeat: The fetal heartbeat is usually detectable and can be seen as a rapid flickering on the ultrasound screen.
  • Neural Tube: The early stages of the brain and spinal cord can be observed.

Interpreting the Results of an 8 Week Sonogram

The results of an 8 week sonogram are interpreted by a trained ultrasound technician and reviewed by an obstetrician. Key findings include:

  • Gestational Age: The CRL measurement helps determine the exact gestational age, which is crucial for monitoring the pregnancy’s progress.
  • Fetal Heartbeat: The presence of a heartbeat is a positive sign of a viable pregnancy.
  • Developmental Milestones: The ultrasound can confirm the presence of the yolk sac and the early stages of the neural tube.
  • Potential Issues: Any abnormalities or complications, such as an ectopic pregnancy or signs of miscarriage, will be noted.

📝 Note: It's important to remember that while an 8 week sonogram provides valuable information, it is just one part of comprehensive prenatal care. Regular check-ups and additional ultrasounds may be recommended based on the findings.

Common Questions About 8 Week Sonograms

Expectant parents often have many questions about the 8 week sonogram. Here are some of the most common queries:

  • Is the 8 week sonogram painful? The procedure is generally painless, although some discomfort may be experienced during a transvaginal ultrasound.
  • Can I bring someone with me? Yes, many clinics allow a support person to accompany the expectant mother during the ultrasound.
  • What if the heartbeat is not detected? If the heartbeat is not detected, further testing may be recommended to rule out any potential issues.
  • Can I get a copy of the ultrasound images? Most clinics provide a printout or digital copy of the ultrasound images for the expectant parents to keep.

Preparing for an 8 Week Sonogram

To ensure a smooth and informative 8 week sonogram, expectant parents can take the following steps:

  • Hydrate: Drink plenty of water before the ultrasound to ensure a full bladder, which can enhance the clarity of the images.
  • Wear Comfortable Clothing: Opt for loose-fitting clothes that can be easily removed or adjusted for the ultrasound.
  • Ask Questions: Prepare a list of questions to ask the ultrasound technician or obstetrician during the appointment.
  • Bring Support: Consider bringing a partner, family member, or friend for emotional support during the ultrasound.

Understanding the Limitations of an 8 Week Sonogram

While an 8 week sonogram provides valuable information, it is important to understand its limitations:

  • Early Stage of Development: At 8 weeks, the fetus is still very small, and some structures may not be fully developed or visible.
  • Technical Factors: The clarity of the ultrasound images can be affected by factors such as the position of the uterus, the amount of amniotic fluid, and the expectant mother’s body type.
  • Interpretation Variability: The interpretation of ultrasound images can vary among different technicians and obstetricians.

📝 Note: If there are any concerns or uncertainties about the results of the 8 week sonogram, it is essential to discuss them with the obstetrician for further evaluation and guidance.

Emotional Aspects of an 8 Week Sonogram

The 8 week sonogram can be an emotional experience for expectant parents. Seeing the fetus for the first time and hearing the heartbeat can be both exciting and overwhelming. It is important to:

  • Prepare Emotionally: Take a moment to reflect on the significance of the ultrasound and the journey ahead.
  • Seek Support: Share your feelings with a partner, family member, or friend who can provide emotional support.
  • Stay Positive: Focus on the positive aspects of the ultrasound and the progress of the pregnancy.

Follow-Up Care After an 8 Week Sonogram

After the 8 week sonogram, expectant parents should:

  • Schedule Regular Check-Ups: Continue with regular prenatal appointments to monitor the pregnancy’s progress.
  • Follow Medical Advice: Adhere to any recommendations or instructions provided by the obstetrician based on the ultrasound results.
  • Maintain a Healthy Lifestyle: Continue with a balanced diet, regular exercise, and prenatal vitamins to support a healthy pregnancy.

📝 Note: Regular follow-up care is crucial for a healthy pregnancy. Any concerns or questions should be discussed with the healthcare provider.

Additional Considerations for an 8 Week Sonogram

There are several additional considerations to keep in mind regarding an 8 week sonogram:

  • Multiple Pregnancies: If there is a possibility of carrying multiples, the ultrasound can help confirm the number of fetuses.
  • Previous Pregnancy Complications: A history of pregnancy complications may warrant additional monitoring and ultrasounds.
  • Genetic Testing: Depending on the results of the 8 week sonogram, genetic testing may be recommended to assess the risk of certain conditions.

The Role of Technology in 8 Week Sonograms

Advances in ultrasound technology have significantly enhanced the quality and accuracy of 8 week sonograms. Modern ultrasound machines offer:

  • High-Resolution Images: Improved image quality allows for better visualization of the fetus and its structures.
  • 3D and 4D Ultrasounds: While not typically used at 8 weeks, these technologies can provide more detailed images in later stages of pregnancy.
  • Doppler Ultrasound: This technology can detect the fetal heartbeat and blood flow, providing additional information about the fetus’s health.

Comparing 8 Week Sonograms with Other Prenatal Tests

An 8 week sonogram is just one of several prenatal tests and procedures. Other common tests include:

Test Purpose Timing
Blood Tests Assess hormone levels, blood type, and screen for genetic disorders Early pregnancy
Chorionic Villus Sampling (CVS) Diagnose genetic abnormalities 10-13 weeks
Amniocentesis Diagnose genetic abnormalities and neural tube defects 15-20 weeks
Non-Invasive Prenatal Testing (NIPT) Screen for chromosomal abnormalities 10 weeks or later

Each of these tests serves a unique purpose and, when combined with an 8 week sonogram, provides a comprehensive assessment of the pregnancy's health.

📝 Note: The timing and necessity of these tests may vary based on individual circumstances and medical history. Always consult with a healthcare provider for personalized recommendations.

The Importance of Early Prenatal Care

Early prenatal care, including an 8 week sonogram, is essential for a healthy pregnancy. Regular check-ups and ultrasounds help:

  • Monitor Fetal Development: Ensure the fetus is growing and developing as expected.
  • Detect Potential Issues: Identify any complications or abnormalities early for timely intervention.
  • Provide Peace of Mind: Offer reassurance and support to expectant parents throughout the pregnancy.

Early prenatal care sets the foundation for a healthy pregnancy and a positive birth experience.

An 8 week sonogram is a pivotal moment in the journey of pregnancy, offering valuable insights into the fetus’s development and the overall health of the pregnancy. By understanding what to expect and preparing accordingly, expectant parents can navigate this milestone with confidence and excitement. Regular prenatal care, including ultrasounds and other tests, ensures a healthy pregnancy and a positive outcome for both the mother and the baby.

Related Terms:

  • scan at 8 weeks pregnant
  • 8 week sonogram pictures
  • 8 week scan pregnancy
  • 8 week ultrasound images
  • 8 week fetus on ultrasound
  • 8 week gestation ultrasound
Facebook Twitter WhatsApp
Related Posts
Don't Miss